Retina Gallery ~ Full Sized Retina Images

Library of Free, Non-Copyrighted Retina Images and Videos

Choose your language:
ERM
ERM: Epiretinal Membrane	
Five years prior to presentation this patient was struck in the eye with a basketball, suffering a vitreal hemorrhage.  He underwent vitrectomy and cataract surgery.  He later developed a faint ERM.   On recent presentation he complained of increased blurring and a floater in his O.D. Examination determined that the ERM had become more prominent.

Keywords: ERM;epiretinal;membrane;wrinkling;cellophane;retinopathy;retinal;macular pucker

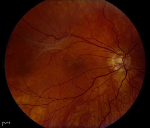
ERM

ERM: Epiretinal Membrane
Five years prior to presentation this patient was struck in the eye with a basketball, suffering a vitreal hemorrhage. He underwent vitrectomy and cataract surgery. He later developed a faint ERM. On recent presentation he complained of increased blurring and a floater in his O.D. Examination determined that the ERM had become more prominent.

SRNVM_WITH_HEMORRHAGE_RING.JPG ERM~0.JPG