Retina Gallery ~ Full Sized Retina Images

Library of Free, Non-Copyrighted Retina Images and Videos

Choose your language:
Dry AMD geographic atrophy and cystoid macular edema
79 year old vision is in for a checkup with no visual complaints in the left eye.  This is her better eye.  VA 20/200 OD, 20/50 OS.  3 years ago she had a CRVO in the left eye.  She is also diabetic for 20 years, has carotid insufficiency and anemia.  Left eye shows CME.  This was not treated and the vision improved to 20/40 over the next year although mild edema persisted.

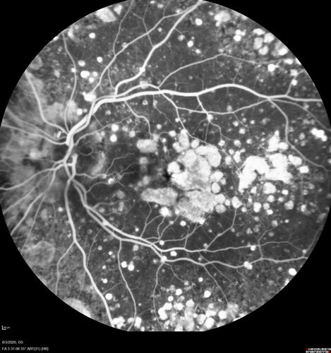
Dry AMD geographic atrophy and cystoid macular edema

79 year old vision is in for a checkup with no visual complaints in the left eye. This is her better eye. VA 20/200 OD, 20/50 OS. 3 years ago she had a CRVO in the left eye. She is also diabetic for 20 years, has carotid insufficiency and anemia. Left eye shows CME. This was not treated and the vision improved to 20/40 over the next year although mild edema persisted.

dryAMDGA-CRVO-edemaOS_bacom1_083020_29.JPG dryAMDGA-CRVO-edemaOS_bacom1_083020_27.JPG dryAMDGA-CRVO-edemaOS_bacom1_083020_26.jpg dryAMDGA-CRVO-edemaOS_bacom1_083020_25.jpg dryAMDGA-CRVO-edemaOS_bacom1_083020_24.jpg