Retina Gallery ~ Full Sized Retina Images
Library of Free, Non-Copyrighted Retina Images and Videos
Home
Contact
About Us
Register
Login
Album list
Last uploads
Last comments
Most viewed
Top rated
My Favorites
By date
Search
FAQ
Choose your language:
FILE 229/326
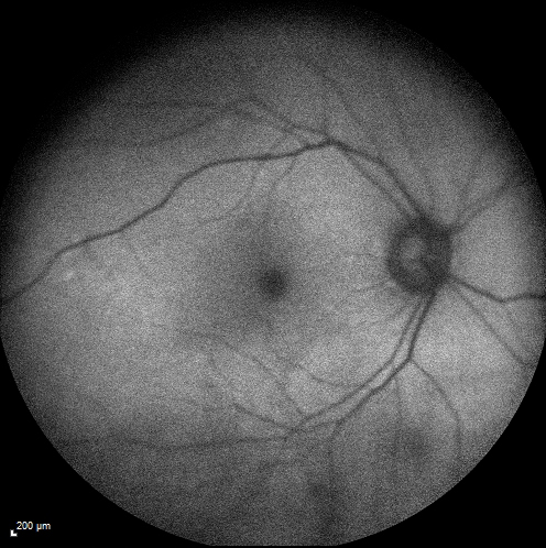
Cystoid macular edema 4 months following cataract surgery with serous retinal detachment
68 year old with 2 months of vision loss OS 20/100. ECCE was 4 months ago.
File information
Filename:
cme_roen_08281510.jpg
Album name:
scohen125
/
CME 4 months following cataract surgery with serous retinal detachment
Filesize:
164 KiB
Date added:
Oct 05, 2015
Dimensions:
496 x 498 pixels
Displayed:
474 times
URL:
https://retinagallery.com/displayimage.php?pid=8586
Favorites:
Add to Favorites