Retina Gallery ~ Full Sized Retina Images
Library of Free, Non-Copyrighted Retina Images and Videos
Home
Contact
About Us
Register
Login
Album list
Last uploads
Last comments
Most viewed
Top rated
My Favorites
By date
Search
FAQ
Choose your language:
FILE 219/326
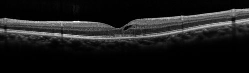
Cystoid macular edema 4 months following cataract surgery with serous retinal detachment
After Posterior sub tenon's kenalog vision improved within 1 month and IOP was fine
File information
Filename:
cme_roen2_09301530.jpg
Album name:
scohen125
/
CME 4 months following cataract surgery with serous retinal detachment
Filesize:
159 KiB
Date added:
Oct 05, 2015
Dimensions:
1340 x 393 pixels
Displayed:
426 times
URL:
https://retinagallery.com/displayimage.php?pid=8604
Favorites:
Add to Favorites