Retina Gallery ~ Full Sized Retina Images

Library of Free, Non-Copyrighted Retina Images and Videos

Choose your language:
Macular Edema and dry AMD - excellent example of why FA and ICG are necessary in management of wet AMD
This 72 year old woman has an OCT that looks like wet AMD.  Only her FA and ICG show that she has inflammatory macular edema.  She had no clinical signs or symptoms of uveitis.  Nevertheless, the macular edema responded to subtenon's kenalog.

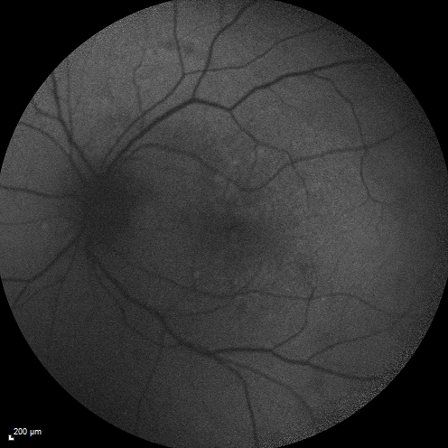
Macular Edema and dry AMD - excellent example of why FA and ICG are necessary in management of wet AMD

This 72 year old woman has an OCT that looks like wet AMD. Only her FA and ICG show that she has inflammatory macular edema. She had no clinical signs or symptoms of uveitis. Nevertheless, the macular edema responded to subtenon's kenalog.

amdcme_maja_020216_15.jpg amdcme_maja_020216_12.jpg amdcme_maja_020216_10.jpg amdcme_maja_020216_07.jpg amdcme_maja_020216_04.jpg