Retina Gallery ~ Full Sized Retina Images
Library of Free, Non-Copyrighted Retina Images and Videos
Home
Contact
About Us
Register
Login
Album list
Last uploads
Last comments
Most viewed
Top rated
My Favorites
By date
Search
FAQ
Choose your language:
FILE 187/326
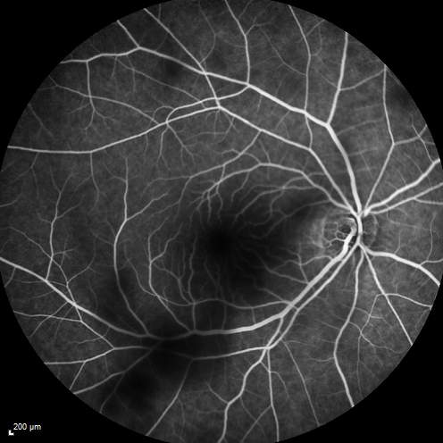
Cystoid Macular Edema 10 years after Cataract Surgery
No overt uveitis but the patient had aching in the eyes and responded to topical anti-inflammatory drops with recurrence of the CME on discontinuation of topical therapy
File information
Filename:
cme_dari1_102315_14.jpg
Album name:
scohen125
/
Occult Uveitis - Recurrent CME
Filesize:
130 KiB
Date added:
Jul 07, 2016
Dimensions:
496 x 496 pixels
Displayed:
462 times
URL:
https://retinagallery.com/displayimage.php?pid=9206
Favorites:
Add to Favorites