Retina Gallery ~ Full Sized Retina Images

Library of Free, Non-Copyrighted Retina Images and Videos

Choose your language:
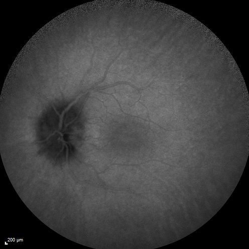
Syphillitic Optic Neuropathy and Maculopathy
46 year old woman with 2 weeks of vision loss OD.  VA 20/200 OD; 20/20 OS.  there are posterior vitreous cells on OCT in both eyes.  ICG, FAF, and FA show an abnormal macula OD.  VA improved to 20/30 within a month with treatment with PCN.
Keywords: syphillis

Syphillitic Optic Neuropathy and Maculopathy

46 year old woman with 2 weeks of vision loss OD. VA 20/200 OD; 20/20 OS. there are posterior vitreous cells on OCT in both eyes. ICG, FAF, and FA show an abnormal macula OD. VA improved to 20/30 within a month with treatment with PCN.

syph_ON_stst1_031116_01.png syph_ON_stst1_031116_02.png syph_ON_stst1_031116_36.jpg syph_ON_stst1_031116_05.png syph_ON_stst1_031116_31.jpg