Retina Gallery ~ Full Sized Retina Images
Library of Free, Non-Copyrighted Retina Images and Videos
Startseite
Kontakt
About Us
Registrieren
Anmelden
Albenliste
Neueste Uploads
Neueste Kommentare
Am meisten angesehen
Am besten bewertet
Meine Favoriten
Nach Datum
Suche
FAQ
Wähle Sprache:
Datei 4/24
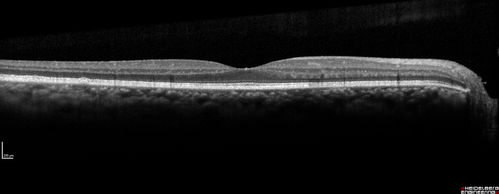
Ocular Lymphoma - non-Hodgkins - B-Cell - Right eye has equatorial drusen
Multifocal sub-RPE lesions in the left eye of a patient with history of Non-hodgkins B-cell Lymphoma last active 2 years ago
Datei-Information
Dateiname:
lymphoma_vija_120616_07.jpg
Name des Albums:
scohen125
/
Ocular Lymphoma - B-Cell
Dateigröße:
330 KB
Hinzugefügt am:
09. März 2017
Abmessungen:
1532 x 596 Pixel
Angezeigt:
514 mal
URL:
https://retinagallery.com/displayimage.php?pid=9591
Favoriten:
zu Favoriten hinzufügen