Retina Gallery ~ Full Sized Retina Images
Library of Free, Non-Copyrighted Retina Images and Videos
Home
Contact
About Us
Register
Login
Album list
Last uploads
Last comments
Most viewed
Top rated
My Favorites
By date
Search
FAQ
Choose your language:
FILE 15/24
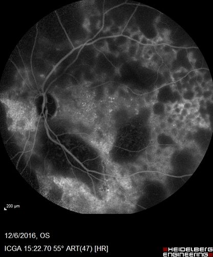
Ocular Lymphoma - non-Hodgkins - B-Cell
Multifocal sub-RPE lesions in the left eye of a patient with history of Non-hodgkins B-cell Lymphoma last active 2 years ago
File information
Filename:
lymphoma_vija_120616_25.jpg
Album name:
scohen125
/
Ocular Lymphoma - B-Cell
Filesize:
177 KiB
Date added:
Mar 09, 2017
Dimensions:
496 x 596 pixels
Displayed:
447 times
URL:
https://retinagallery.com/displayimage.php?pid=9609
Favorites:
Add to Favorites