Retina Gallery ~ Full Sized Retina Images
Library of Free, Non-Copyrighted Retina Images and Videos
Home
Contact
About Us
Register
Login
Album list
Last uploads
Last comments
Most viewed
Top rated
My Favorites
By date
Search
FAQ
Choose your language:
FILE 11/31
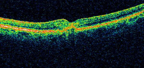
Juxtafoveal Telangiectasis and Newly Decreasing Vision
70-year-old woman followed for 10 years with IJFT with newly decreasing vision
File information
Filename:
mactelnelupreheme2007_28629.jpg
Album name:
scohen125
/
Juxtafoveal Telangiectasia - Before and After New Hemorrhage Right Eye
Keywords:
mactel
/
juxtafoveal telangiectasis
/
telangectasia
/
crystals
Filesize:
80 KiB
Date added:
Nov 23, 2010
Dimensions:
689 x 329 pixels
Displayed:
512 times
URL:
https://retinagallery.com/displayimage.php?pid=978
Favorites:
Add to Favorites