Retina Gallery ~ Full Sized Retina Images
Library of Free, Non-Copyrighted Retina Images and Videos
Inicio
Contacto
About Us
Regístrate
Entrar
Lista de álbumes
Últimos archivos
Últimos comentarios
Más vistos
Más valorados
Mis favoritos
Por fecha
Buscar
FAQ
Elige idioma:
Archivo 1/4
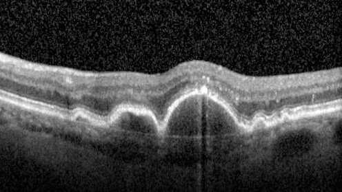
Focal Hyperpigmentation in Dry Age-Related Macular Degeneration
74 year old female with 20/32 vision right eye and 20/25 vision in the left eye. Images show focal hyper-pigmentation which is a risk factor for progression to wet AMD
Informacion de archivo
Nombre del archivo:
AMD-Pigment_mawal_082621_04.jpg
Nombre de álbum:
scohen125
/
Focal Hyperpigmentation - Dry Age-related Macular Degengeration
Tamaño del archivo:
60 KiB
Fecha añadida:
Agosto 26, 2021
Dimensiones:
496 x 279 píxeles
Visto:
307 visitas
URL:
https://retinagallery.com/displayimage.php?pid=15012
Favoritos:
Añadir a favoritos