Retina Gallery ~ Full Sized Retina Images

Library of Free, Non-Copyrighted Retina Images and Videos

Choose your language:
Age-related macular degeneration - Geographic Atrophy - Intermittent CME left eye from CRVO, Anemia, Diabetes
79 year old female - 3 years post CRVO in the left eye (20/32 VA) with intermittent CME.  Left eye is the better eye.  Vision is stable since 2 years ago
PMHx: Type II DM x 20 years, Chronic Anemia, Hyperlipidemia
VA 20/200 OD, 20/50 OS (usually 20/40)

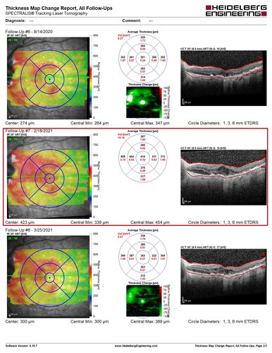
Age-related macular degeneration - Geographic Atrophy - Intermittent CME left eye from CRVO, Anemia, Diabetes

79 year old female - 3 years post CRVO in the left eye (20/32 VA) with intermittent CME. Left eye is the better eye. Vision is stable since 2 years ago
PMHx: Type II DM x 20 years, Chronic Anemia, Hyperlipidemia
VA 20/200 OD, 20/50 OS (usually 20/40)

dryAMDGA-CRVO-edemaOS_bacom1_083020_09~0.jpg dryAMDGA-CRVO-edemaOS_bacom1_083020_20~0.jpg dryAMDGA-CRVO-edemaOS_bacom1_083020_29~0.JPG dryAMDGA-CRVO-edemaOS_bacom1_083020_11~0.JPG dryAMDGA-CRVO-edemaOS_bacom1_083020_10~0.jpg