Retina Gallery ~ Full Sized Retina Images

Library of Free, Non-Copyrighted Retina Images and Videos

Choose your language:
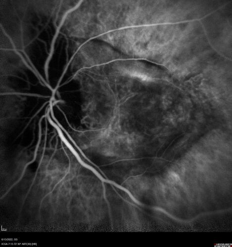
Optic nerve (disc) drusen and choroidal neovascular membrane
85 year old man - The left eye has had poor vision for 7-8 years.  The right eye is OK.  He was in for a checkup and his ophthalmologist noticed a problem and asked him to see retina doctor.  
Medical Hx: Cancer. 
Surgical Hx: Back Surgery. Gallbladder. Appendectomy. Colon Cancer.
Systemic Meds: Propafenone Hydrochloride, 225 mg oral tablet. Rosuvastatin. PAROXETINE HCL. GABAPENTIN. DONEPEZIL. Asp
VA OD: Dcc20/25-2 OS: DccCF 1ft 
IOP: TP: OD:13 OS:12
Patient's right eye was treated with Avastin and was dry with one shot.

Optic nerve (disc) drusen and choroidal neovascular membrane

85 year old man - The left eye has had poor vision for 7-8 years.  The right eye is OK.  He was in for a checkup and his ophthalmologist noticed a problem and asked him to see retina doctor.  
Medical Hx: Cancer.
Surgical Hx: Back Surgery. Gallbladder. Appendectomy. Colon Cancer.
Systemic Meds: Propafenone Hydrochloride, 225 mg oral tablet. Rosuvastatin. PAROXETINE HCL. GABAPENTIN. DONEPEZIL. Asp
VA OD: Dcc20/25-2 OS: DccCF 1ft
IOP: TP: OD:13 OS:12
Patient's right eye was treated with Avastin and was dry with one shot.

drusen-cnvm_dasou2_maps_25.JPG drusen-cnvm_dasou1_061322_18.jpg drusen-cnvm_dasou1_061322_22.jpg drusen-cnvm_dasou1_061322_16.jpg drusen-cnvm_dasou1_061322_01.jpg