Retina Gallery ~ Full Sized Retina Images
Library of Free, Non-Copyrighted Retina Images and Videos
Startseite
Kontakt
About Us
Registrieren
Anmelden
Albenliste
Neueste Uploads
Neueste Kommentare
Am meisten angesehen
Am besten bewertet
Meine Favoriten
Nach Datum
Suche
FAQ
Wähle Sprache:
Datei 11/64
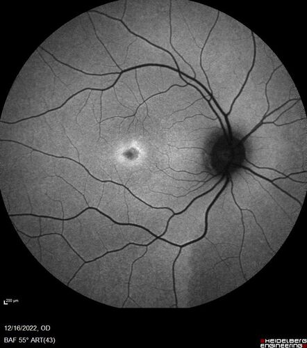
Stargardt Disease - Very Mild - 24 year old
This patient has 3 different ABCA4 mutations. His mother and sister have stargardts and his father has RP. His sisters images are also on Retinagallery.com
Datei-Information
Dateiname:
stargardt-mild_pacai_121622_04.jpg
Name des Albums:
scohen125
/
Stargardt Sibling - ABCA4 3 mutations
Dateigröße:
87 KB
Hinzugefügt am:
19. März 2023
Abmessungen:
768 x 868 Pixel
Angezeigt:
212 mal
URL:
https://retinagallery.com/displayimage.php?pid=16756
Favoriten:
zu Favoriten hinzufügen