Retina Gallery ~ Full Sized Retina Images
Library of Free, Non-Copyrighted Retina Images and Videos
Algus
Kontakt
About Us
Registreeru
Logi sisse
Albumite nimekiri
Viimati lisatud
Viimased kommentaarid
Enimvaadatud
Kõrgeimalt hinnatud
Minu lemmikud
Kuupäeva järgi
Otsing
FAQ
Vali keel:
FAIL 14/64
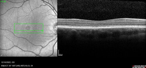
Stargardt Disease - Very Mild - 24 year old
This patient has 3 different ABCA4 mutations. His mother and sister have stargardts and his father has RP. His sisters images are also on Retinagallery.com
Faili info
Faili nimi:
stargardt-mild_pacai_121622_34.jpg
Albumi nimi:
scohen125
/
Stargardt Sibling - ABCA4 3 mutations
Faili maht:
99 KiB
Lisamise aeg:
märts 19, 2023
Mõõtmed:
1264 x 596 px
Näidatud:
207 korda
URL:
https://retinagallery.com/displayimage.php?pid=16788
Lemmikud:
Lisa lemmikutesse