Retina Gallery ~ Full Sized Retina Images

Library of Free, Non-Copyrighted Retina Images and Videos

Choose your language:
Central Retinal Vein Occlusion and Laser Induced Chorioretinal Anastomosis
84-year-old woman has age-related macular degeneration in both eyes with foveal atrophy.  She also has a central retinal vein occlusion 
in the left eye for which she had intravitreal Kenalog and finally chorioretinal anastomosis laser a year 
ago.  VISUAL ACUITY:  Vision OD is 20/160, OS is 7/200

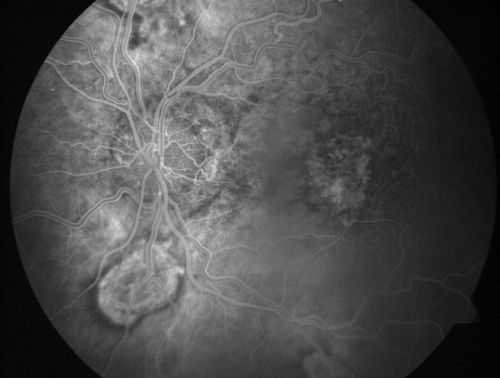
Central Retinal Vein Occlusion and Laser Induced Chorioretinal Anastomosis

84-year-old woman has age-related macular degeneration in both eyes with foveal atrophy. She also has a central retinal vein occlusion
in the left eye for which she had intravitreal Kenalog and finally chorioretinal anastomosis laser a year
ago. VISUAL ACUITY: Vision OD is 20/160, OS is 7/200

crvocranast_rume03.jpg crvocranast_rume10.jpg crvocranast_rume11.jpg crvocranast_rume05.jpg crvocranast_rume09.jpg