Retina Gallery ~ Full Sized Retina Images

Library of Free, Non-Copyrighted Retina Images and Videos

Choose your language:
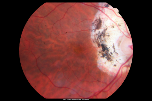
Ocular Histoplasmosis both Eyes - Laser Right Eye Only 
58-year-old woman who lost vision as a child in the left eye from ocular histoplasmosis.  She used to play in her attic and she was told by her pulmonary doctor that is probably where she picked it up.  She had laser in the right eye for a leaky lesion back in 1990.  OD 20/25,  OS 20/200.

Ocular Histoplasmosis both Eyes - Laser Right Eye Only

58-year-old woman who lost vision as a child in the left eye from ocular histoplasmosis. She used to play in her attic and she was told by her pulmonary doctor that is probably where she picked it up. She had laser in the right eye for a leaky lesion back in 1990. OD 20/25, OS 20/200.

pohsscars_maca07.png pohsscars_maca15.png pohsscars_maca17.png pohsscars_maca04.png pohsscars_maca13.png