Retina Gallery ~ Full Sized Retina Images
Library of Free, Non-Copyrighted Retina Images and Videos
Home
Contact
About Us
Register
Login
Album list
Last uploads
Last comments
Most viewed
Top rated
My Favorites
By date
Search
FAQ
Choose your language:
FILE 17672/17726
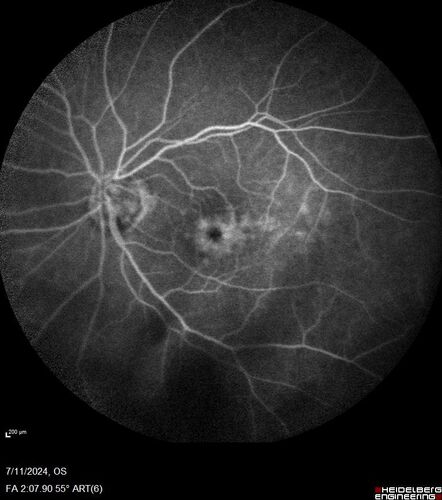
Latanoprost induced CME
89 year old man with CME from latanoprost that cleared within one month of stopping the medication
File information
Filename:
CME-Latanoprost_67794_071124_10.jpg
Album name:
scohen125
/
Latanoprost induced CME
Filesize:
92 KiB
Date added:
Nov 23, 2025
Dimensions:
768 x 868 pixels
Displayed:
20 times
URL:
https://retinagallery.com/displayimage.php?pid=18806
Favorites:
Add to Favorites