Retina Gallery ~ Full Sized Retina Images

Library of Free, Non-Copyrighted Retina Images and Videos

Choose your language:
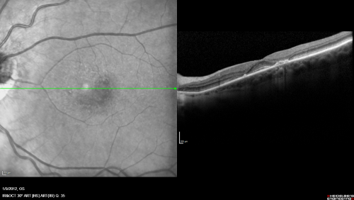
Plaquenil Toxicity both Eyes - Partial Bull's Eye - Discontinued 6 Years ago SD-OCT (Spectral domain optical coherence tomography)
82-year-old woman was on Plaquenil from 1976 from 2005, 200 mg a day.  It was discontinued because of abnormal visual fields 6 years ago. OD 20/32,  OS 20/40

Plaquenil Toxicity both Eyes - Partial Bull's Eye - Discontinued 6 Years ago SD-OCT (Spectral domain optical coherence tomography)

82-year-old woman was on Plaquenil from 1976 from 2005, 200 mg a day. It was discontinued because of abnormal visual fields 6 years ago. OD 20/32, OS 20/40

htnretinopathy_gadi_042213_18.png 51305_001.JPG plaqueniltoxmoderate_tebo06.png reticular_laio11.jpg DryAMD-pigmentMigration_maber_04.jpg