Retina Gallery ~ Full Sized Retina Images
Library of Free, Non-Copyrighted Retina Images and Videos
Home
Contact
About Us
Register
Login
Album list
Last uploads
Last comments
Most viewed
Top rated
My Favorites
By date
Search
FAQ
Choose your language:
FILE 346/582
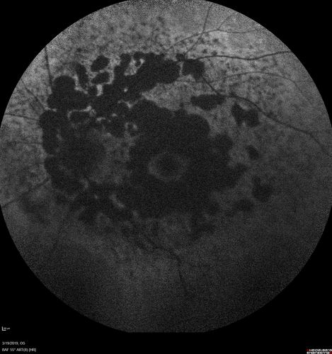
Concentric Geographic Atrophy
76 year old man Gradual vision loss
20/32 OD; 20/40 OS
No medicines, Non-smoker
Working and Driving
File information
Filename:
ga-jobau_031919_13.jpg
Album name:
scohen125
/
Concentric Geographic Atrophy
Filesize:
1870 KiB
Date added:
May 27, 2019
Dimensions:
1536 x 1636 pixels
Displayed:
372 times
URL:
https://retinagallery.com/displayimage.php?pid=12630
Favorites:
Add to Favorites