Retina Gallery ~ Full Sized Retina Images
Library of Free, Non-Copyrighted Retina Images and Videos
Home
Contact
About Us
Register
Login
Album list
Last uploads
Last comments
Most viewed
Top rated
My Favorites
By date
Search
FAQ
Choose your language:
FILE 377/582
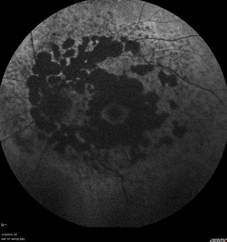
Concentric Geographic Atrophy - 76 year old man
Gradual vision loss, worse at night. VA 20/40 OU.
File information
Filename:
ga-jobau_031919_13~0.jpg
Album name:
scohen125
/
Concentric Geographic Atrophy - 76 YO male
Filesize:
1870 KiB
Date added:
Dec 30, 2019
Dimensions:
1536 x 1636 pixels
Displayed:
339 times
URL:
https://retinagallery.com/displayimage.php?pid=13300
Favorites:
Add to Favorites