Retina Gallery ~ Full Sized Retina Images

Library of Free, Non-Copyrighted Retina Images and Videos

Choose your language:
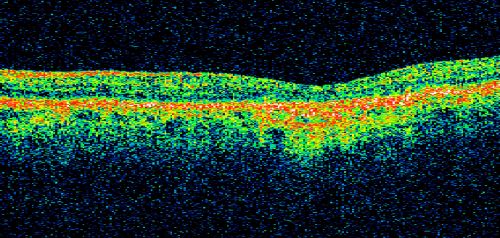
Basal Laminar Drusen - Cuticular Drusen - Equatorial Drusen - 70 Year Old Woman Line Scan Left Eye
70 year old woman has had macular drusen since her thirties and she said her sister has a similar problem.  Recently the vision in the left eye has substantially declined. OD 20/16, OS 10/200.

Basal Laminar Drusen - Cuticular Drusen - Equatorial Drusen - 70 Year Old Woman Line Scan Left Eye

70 year old woman has had macular drusen since her thirties and she said her sister has a similar problem. Recently the vision in the left eye has substantially declined. OD 20/16, OS 10/200.

cutdrusen_kepo_19.png ga-jobau_031919_12.jpg cuticularequatorialdrusen15.jpg ga-jobau_031919_09.jpg ga-jobau_031919_02.png