Retina Gallery ~ Full Sized Retina Images

Library of Free, Non-Copyrighted Retina Images and Videos

Choose your language:
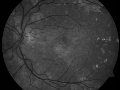
Basal Laminar Drusen - Cuticular Drusen - Equatorial Drusen - 70 Year Old Woman 
70 year old woman has had macular drusen since her thirties and she said her sister has a similar problem.  Recently the vision in the left eye has substantially declined. OD 20/16, OS 10/200.

Basal Laminar Drusen - Cuticular Drusen - Equatorial Drusen - 70 Year Old Woman

70 year old woman has had macular drusen since her thirties and she said her sister has a similar problem. Recently the vision in the left eye has substantially declined. OD 20/16, OS 10/200.

cuticularequatorialdrusen31.jpg cuticularequatorialdrusen19.jpg cuticularequatorialdrusen17.jpg ga-jobau_031919_15.jpg ga-jobau_031919_05~0.png