Retina Gallery ~ Full Sized Retina Images

Library of Free, Non-Copyrighted Retina Images and Videos

Choose your language:
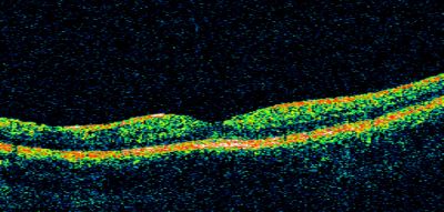
Basal Laminar Drusen - Cuticular Drusen - 19 Year Old with Lupus Nephritis
19-year-old.  She has a history of developing severe systemic lupus erythematosus in 2001.  She was in renal failure and had biopsy proven Class 2 lupus nephritis.  She is currently on Plaquenil 400 mg for six years, as well as Prednisolone orally, every other day. OD 20/20, OS 20/25.
Keywords: Basal Laminar Drusen;Cuticular Drusen

Basal Laminar Drusen - Cuticular Drusen - 19 Year Old with Lupus Nephritis

19-year-old. She has a history of developing severe systemic lupus erythematosus in 2001. She was in renal failure and had biopsy proven Class 2 lupus nephritis. She is currently on Plaquenil 400 mg for six years, as well as Prednisolone orally, every other day. OD 20/20, OS 20/25.

cuticularequatorialdrusen34.jpg cuticularequatorialdrusen08.jpg drusenbasal_633631_284029.jpg drusenbasal_633631_282029.png RMD_JAAP_072613_01.jpg