Retina Gallery ~ Full Sized Retina Images
Library of Free, Non-Copyrighted Retina Images and Videos
Home
Contact
About Us
Register
Login
Album list
Last uploads
Last comments
Most viewed
Top rated
My Favorites
By date
Search
FAQ
Choose your language:
FILE 64/202
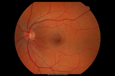
Macular Hole Closed with Vitrectomy - Preop
File information
Filename:
chrpemachole_5826_28429.png
Album name:
scohen125
/
Macular Hole
Keywords:
macular hole
/
closed
/
vitrectomy
Filesize:
7012 KiB
Date added:
Oct 27, 2010
Dimensions:
3500 x 2333 pixels
Displayed:
490 times
URL:
https://retinagallery.com/displayimage.php?pid=65
Favorites:
Add to Favorites