Retina Gallery ~ Full Sized Retina Images
Library of Free, Non-Copyrighted Retina Images and Videos
Home
Contact
About Us
Register
Login
Album list
Last uploads
Last comments
Most viewed
Top rated
My Favorites
By date
Search
FAQ
Choose your language:
FILE 54/202
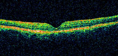
Macular Hole Closed with Vitrectomy - Post-op 20/60 Vision
File information
Filename:
chrpemachole_5826_281229.jpg
Album name:
scohen125
/
Macular Hole
Keywords:
macular hole
/
closed
/
vitrectomy
Filesize:
106 KiB
Date added:
Oct 27, 2010
Dimensions:
689 x 329 pixels
Displayed:
516 times
URL:
https://retinagallery.com/displayimage.php?pid=68
Favorites:
Add to Favorites