Retina Gallery ~ Full Sized Retina Images
Library of Free, Non-Copyrighted Retina Images and Videos
Home
Contact
About Us
Register
Login
Album list
Last uploads
Last comments
Most viewed
Top rated
My Favorites
By date
Search
FAQ
Choose your language:
FILE 90/202
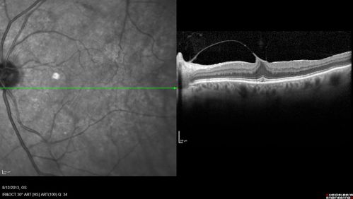
Macular Hole Left Eye - progression from VMT - Stage II macular hole - Spontaneously Closed Macular Hole
Asymptomatic VMT OS with 20/30 VA
File information
Filename:
Abort_betu1_081213_07.jpg
Album name:
scohen125
/
Macular Hole from Vitreomacular traction to Stage II hole to Spontaneously Closed Hole
Filesize:
479 KiB
Date added:
Sep 06, 2014
Dimensions:
1536 x 868 pixels
Displayed:
431 times
URL:
https://retinagallery.com/displayimage.php?pid=7756
Favorites:
Add to Favorites