Retina Gallery ~ Full Sized Retina Images
Library of Free, Non-Copyrighted Retina Images and Videos
Home
Contact
About Us
Register
Login
Album list
Last uploads
Last comments
Most viewed
Top rated
My Favorites
By date
Search
FAQ
Choose your language:
FILE 32/454
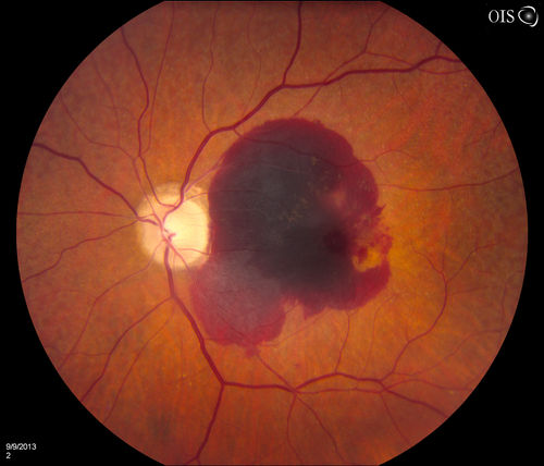
Retinal Hemorrhage
Fundus photography shows central retinal hemorrhage. Patient was treated with Avastin Injection and will be followed up in 4-weeks.
File information
Filename:
50284_002.JPG
Album name:
/
Retinal Hemorrhage
Rating (2 votes):
(
Show details
)
Keywords:
september2013
Attribution (if wanted) enter name or institution here: :
Mayo Clinic Jacksonville, Florida
Device with which Image was Captured::
TOPCON TRC 50-EX
Filesize:
4556 KiB
Date added:
Sep 11, 2013
Dimensions:
2392 x 2048 pixels
Displayed:
1185 times
URL:
https://retinagallery.com/displayimage.php?pid=6976
Favorites:
Add to Favorites