70-year-old Left eye worse than the right. Both eyes see distortion in the amsler grid for a few months
HTN, High Lipids, Osteoporosis
Meds: Lutein once daily, Calcium, Fish oil, Red Yeast Rice, CoQ10, Magnesium, MVI, Xanax
VA 20/16 OU
2+NS cataract
|

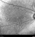
Intermediate Dry Age-Related Macular Degeneration - Soft Drusen283 views70-year-old Left eye worse than the right. Both eyes see distortion in the amsler grid for a few months
HTN, High Lipids, Osteoporosis
Meds: Lutein once daily, Calcium, Fish oil, Red Yeast Rice, CoQ10, Magnesium, MVI, Xanax
VA 20/16 OU
2+NS cataract     (0 votes)
|
|

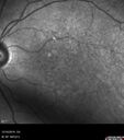
Intermediate Dry Age-Related Macular Degeneration - Soft Drusen256 views70-year-old Left eye worse than the right. Both eyes see distortion in the amsler grid for a few months
HTN, High Lipids, Osteoporosis
Meds: Lutein once daily, Calcium, Fish oil, Red Yeast Rice, CoQ10, Magnesium, MVI, Xanax
VA 20/16 OU
2+NS cataract     (0 votes)
|
|

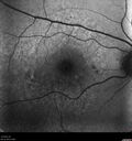
Intermediate Dry Age-Related Macular Degeneration - Soft Drusen269 views70-year-old Left eye worse than the right. Both eyes see distortion in the amsler grid for a few months
HTN, High Lipids, Osteoporosis
Meds: Lutein once daily, Calcium, Fish oil, Red Yeast Rice, CoQ10, Magnesium, MVI, Xanax
VA 20/16 OU
2+NS cataract     (0 votes)
|
|

Intermediate Dry Age-Related Macular Degeneration - Soft Drusen232 views70-year-old Left eye worse than the right. Both eyes see distortion in the amsler grid for a few months
HTN, High Lipids, Osteoporosis
Meds: Lutein once daily, Calcium, Fish oil, Red Yeast Rice, CoQ10, Magnesium, MVI, Xanax
VA 20/16 OU
2+NS cataract     (0 votes)
|
|

Intermediate Dry Age-Related Macular Degeneration - Soft Drusen241 views70-year-old Left eye worse than the right. Both eyes see distortion in the amsler grid for a few months
HTN, High Lipids, Osteoporosis
Meds: Lutein once daily, Calcium, Fish oil, Red Yeast Rice, CoQ10, Magnesium, MVI, Xanax
VA 20/16 OU
2+NS cataract     (0 votes)
|
|

Intermediate Dry Age-Related Macular Degeneration - Soft Drusen250 views70-year-old Left eye worse than the right. Both eyes see distortion in the amsler grid for a few months
HTN, High Lipids, Osteoporosis
Meds: Lutein once daily, Calcium, Fish oil, Red Yeast Rice, CoQ10, Magnesium, MVI, Xanax
VA 20/16 OU
2+NS cataract     (0 votes)
|
|

Intermediate Dry Age-Related Macular Degeneration - Soft Drusen257 views70-year-old Left eye worse than the right. Both eyes see distortion in the amsler grid for a few months
HTN, High Lipids, Osteoporosis
Meds: Lutein once daily, Calcium, Fish oil, Red Yeast Rice, CoQ10, Magnesium, MVI, Xanax
VA 20/16 OU
2+NS cataract     (0 votes)
|
|

Intermediate Dry Age-Related Macular Degeneration - Soft Drusen240 views70-year-old Left eye worse than the right. Both eyes see distortion in the amsler grid for a few months
HTN, High Lipids, Osteoporosis
Meds: Lutein once daily, Calcium, Fish oil, Red Yeast Rice, CoQ10, Magnesium, MVI, Xanax
VA 20/16 OU
2+NS cataract     (0 votes)
|
|

Intermediate Dry Age-Related Macular Degeneration - Soft Drusen245 views70-year-old Left eye worse than the right. Both eyes see distortion in the amsler grid for a few months
HTN, High Lipids, Osteoporosis
Meds: Lutein once daily, Calcium, Fish oil, Red Yeast Rice, CoQ10, Magnesium, MVI, Xanax
VA 20/16 OU
2+NS cataract     (0 votes)
|
|

Intermediate Dry Age-Related Macular Degeneration - Soft Drusen270 views70-year-old Left eye worse than the right. Both eyes see distortion in the amsler grid for a few months
HTN, High Lipids, Osteoporosis
Meds: Lutein once daily, Calcium, Fish oil, Red Yeast Rice, CoQ10, Magnesium, MVI, Xanax
VA 20/16 OU
2+NS cataract     (0 votes)
|
|
|
|
|
|
70-year-old Left eye worse than the right. Both eyes see distortion in the amsler grid for a few months
HTN, High Lipids, Osteoporosis
Meds: Lutein once daily, Calcium, Fish oil, Red Yeast Rice, CoQ10, Magnesium, MVI, Xanax
VA 20/16 OU
2+NS cataract