Severe Proliferative Diabetic Retinopathy and Good Vision
|
|
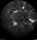
49 year old man with vision loss in the right eye for 2 weeks. VA 20/40 OD, 20/63 OS. DM x 15 years and HTN.
|

Severe Proliferative Diabetic Retinopathy and Good Vision281 views49 year old man with vision loss in the right eye for 2 weeks. VA 20/40 OD, 20/63 OS. DM x 15 years and HTN.     (0 votes)
|
|

Severe Proliferative Diabetic Retinopathy and Good Vision281 views49 year old man with vision loss in the right eye for 2 weeks. VA 20/40 OD, 20/63 OS. DM x 15 years and HTN.     (0 votes)
|
|

Severe Proliferative Diabetic Retinopathy and Good Vision278 views49 year old man with vision loss in the right eye for 2 weeks. VA 20/40 OD, 20/63 OS. DM x 15 years and HTN.     (0 votes)
|
|

Severe Proliferative Diabetic Retinopathy and Good Vision265 views49 year old man with vision loss in the right eye for 2 weeks. VA 20/40 OD, 20/63 OS. DM x 15 years and HTN.     (0 votes)
|
|

Severe Proliferative Diabetic Retinopathy and Good Vision272 views49 year old man with vision loss in the right eye for 2 weeks. VA 20/40 OD, 20/63 OS. DM x 15 years and HTN.     (0 votes)
|
|

Severe Proliferative Diabetic Retinopathy and Good Vision284 views49 year old man with vision loss in the right eye for 2 weeks. VA 20/40 OD, 20/63 OS. DM x 15 years and HTN.     (0 votes)
|
|

Severe Proliferative Diabetic Retinopathy and Good Vision266 views49 year old man with vision loss in the right eye for 2 weeks. VA 20/40 OD, 20/63 OS. DM x 15 years and HTN.     (0 votes)
|
|

Severe Proliferative Diabetic Retinopathy and Good Vision279 views49 year old man with vision loss in the right eye for 2 weeks. VA 20/40 OD, 20/63 OS. DM x 15 years and HTN.     (0 votes)
|
|

Severe Proliferative Diabetic Retinopathy and Good Vision275 views49 year old man with vision loss in the right eye for 2 weeks. VA 20/40 OD, 20/63 OS. DM x 15 years and HTN.     (0 votes)
|
|

Severe Proliferative Diabetic Retinopathy and Good Vision263 views49 year old man with vision loss in the right eye for 2 weeks. VA 20/40 OD, 20/63 OS. DM x 15 years and HTN.     (0 votes)
|
|

Severe Proliferative Diabetic Retinopathy and Good Vision276 views49 year old man with vision loss in the right eye for 2 weeks. VA 20/40 OD, 20/63 OS. DM x 15 years and HTN.     (0 votes)
|
|

Severe Proliferative Diabetic Retinopathy and Good Vision273 views49 year old man with vision loss in the right eye for 2 weeks. VA 20/40 OD, 20/63 OS. DM x 15 years and HTN.     (0 votes)
|
|

Severe Proliferative Diabetic Retinopathy and Good Vision299 views49 year old man with vision loss in the right eye for 2 weeks. VA 20/40 OD, 20/63 OS. DM x 15 years and HTN.     (0 votes)
|
|

Severe Proliferative Diabetic Retinopathy and Good Vision275 views49 year old man with vision loss in the right eye for 2 weeks. VA 20/40 OD, 20/63 OS. DM x 15 years and HTN.     (0 votes)
|
|

Severe Proliferative Diabetic Retinopathy and Good Vision288 views49 year old man with vision loss in the right eye for 2 weeks. VA 20/40 OD, 20/63 OS. DM x 15 years and HTN.     (0 votes)
|
|

Severe Proliferative Diabetic Retinopathy and Good Vision260 views49 year old man with vision loss in the right eye for 2 weeks. VA 20/40 OD, 20/63 OS. DM x 15 years and HTN.     (0 votes)
|
|

Severe Proliferative Diabetic Retinopathy and Good Vision271 views49 year old man with vision loss in the right eye for 2 weeks. VA 20/40 OD, 20/63 OS. DM x 15 years and HTN.     (0 votes)
|
|

Severe Proliferative Diabetic Retinopathy and Good Vision286 views49 year old man with vision loss in the right eye for 2 weeks. VA 20/40 OD, 20/63 OS. DM x 15 years and HTN.     (0 votes)
|
|

Severe Proliferative Diabetic Retinopathy and Good Vision271 views49 year old man with vision loss in the right eye for 2 weeks. VA 20/40 OD, 20/63 OS. DM x 15 years and HTN.     (0 votes)
|
|

Severe Proliferative Diabetic Retinopathy and Good Vision268 views49 year old man with vision loss in the right eye for 2 weeks. VA 20/40 OD, 20/63 OS. DM x 15 years and HTN.     (0 votes)
|
|

Severe Proliferative Diabetic Retinopathy and Good Vision274 views49 year old man with vision loss in the right eye for 2 weeks. VA 20/40 OD, 20/63 OS. DM x 15 years and HTN.     (0 votes)
|
|

Severe Proliferative Diabetic Retinopathy and Good Vision250 views49 year old man with vision loss in the right eye for 2 weeks. VA 20/40 OD, 20/63 OS. DM x 15 years and HTN.     (0 votes)
|
|

Severe Proliferative Diabetic Retinopathy and Good Vision262 views49 year old man with vision loss in the right eye for 2 weeks. VA 20/40 OD, 20/63 OS. DM x 15 years and HTN.     (0 votes)
|
|

Severe Proliferative Diabetic Retinopathy and Good Vision308 views49 year old man with vision loss in the right eye for 2 weeks. VA 20/40 OD, 20/63 OS. DM x 15 years and HTN.     (0 votes)
|
|

Severe Proliferative Diabetic Retinopathy and Good Vision300 views49 year old man with vision loss in the right eye for 2 weeks. VA 20/40 OD, 20/63 OS. DM x 15 years and HTN.     (0 votes)
|
|
|
|
|
|
|
49 year old man with vision loss in the right eye for 2 weeks. VA 20/40 OD, 20/63 OS. DM x 15 years and HTN.