Retina Gallery ~ Full Sized Retina Images

Library of Free, Non-Copyrighted Retina Images and Videos

Choose your language:



72 year old man with pattern dystrophy in both eyes. Vision starts at 20/70 left eye and declined to 5/200.

patterndys_husmi_021816_03.jpg
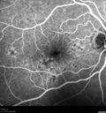
Pattern dystrophy with progressive foveal atrophy left eye164 views72 year old man. Vision in the left eye is 20/80. It declined to 5/200 over about 3 years.00000
(0 votes)
patterndys_husmi_021816_04.jpg
Pattern dystrophy with progressive foveal atrophy left eye176 views72 year old man. Vision in the left eye is 20/80. It declined to 5/200 over about 3 years.00000
(0 votes)
patterndys_husmi_021816_05.jpg
Pattern dystrophy with progressive foveal atrophy left eye171 views72 year old man. Vision in the left eye is 20/80. It declined to 5/200 over about 3 years.00000
(0 votes)
patterndys_husmi_021816_06.jpg
Pattern dystrophy with progressive foveal atrophy left eye171 views72 year old man. Vision in the left eye is 20/80. It declined to 5/200 over about 3 years.00000
(0 votes)
patterndys_husmi_021816_07.jpg
Pattern dystrophy with progressive foveal atrophy left eye169 views72 year old man. Vision in the left eye is 20/80. It declined to 5/200 over about 3 years.00000
(0 votes)
patterndys_husmi_021816_08.jpg
Pattern dystrophy with progressive foveal atrophy left eye166 views72 year old man. Vision in the left eye is 20/80. It declined to 5/200 over about 3 years.00000
(0 votes)
patterndys_husmi_021816_09.jpg
Pattern dystrophy with progressive foveal atrophy left eye175 views72 year old man. Vision in the left eye is 20/80. It declined to 5/200 over about 3 years.00000
(0 votes)
patterndys_husmi_021816_02.png
Pattern dystrophy with progressive foveal atrophy left eye158 views72 year old man. Vision in the left eye is 20/80. It declined to 5/200 over about 3 years.00000
(0 votes)
patterndys_husmi_021816_10.jpg
Pattern dystrophy with progressive foveal atrophy left eye177 views72 year old man. Vision in the left eye is 20/80. It declined to 5/200 over about 3 years.00000
(0 votes)
patterndys_husmi_021816_01.png
Pattern dystrophy with progressive foveal atrophy left eye176 views72 year old man. Vision in the left eye is 20/80. It declined to 5/200 over about 3 years.00000
(0 votes)
patterndys_husmi_021816_11.jpg
Pattern dystrophy with progressive foveal atrophy left eye176 views72 year old man. Vision in the left eye is 20/80. It declined to 5/200 over about 3 years.00000
(0 votes)
patterndys_husmi_021816_13.jpg
Pattern dystrophy with progressive foveal atrophy left eye184 views72 year old man. Vision in the left eye is 20/80. It declined to 5/200 over about 3 years.00000
(0 votes)
patterndys_husmi_021816_12.jpg
Pattern dystrophy with progressive foveal atrophy left eye162 views72 year old man. Vision in the left eye is 20/80. It declined to 5/200 over about 3 years.00000
(0 votes)
patterndys_husmi_021816_14.jpg
Pattern dystrophy with progressive foveal atrophy left eye179 views72 year old man. Vision in the left eye is 20/80. It declined to 5/200 over about 3 years.00000
(0 votes)
patterndys_husmi_021816_15.jpg
Pattern dystrophy with progressive foveal atrophy left eye179 views72 year old man. Vision in the left eye is 20/80. It declined to 5/200 over about 3 years.00000
(0 votes)
patterndys_husmi_021816_16.jpg
Pattern dystrophy with progressive foveal atrophy left eye154 views72 year old man. Vision in the left eye is 20/80. It declined to 5/200 over about 3 years.00000
(0 votes)
patterndys_husmi_021816_17.jpg
Pattern dystrophy with progressive foveal atrophy left eye175 views72 year old man. Vision in the left eye is 20/80. It declined to 5/200 over about 3 years.00000
(0 votes)
patterndys_husmi_021816_18.jpg
Pattern dystrophy with progressive foveal atrophy left eye163 views72 year old man. Vision in the left eye is 20/80. It declined to 5/200 over about 3 years.00000
(0 votes)
patterndys_husmi_021816_19.jpg
Pattern dystrophy with progressive foveal atrophy left eye180 views72 year old man. Vision in the left eye is 20/80. It declined to 5/200 over about 3 years.00000
(0 votes)
patterndys_husmi_021816_20.jpg
Pattern dystrophy with progressive foveal atrophy left eye163 views72 year old man. Vision in the left eye is 20/80. It declined to 5/200 over about 3 years.00000
(0 votes)
patterndys_husmi_021816_22.jpg
Pattern dystrophy with progressive foveal atrophy left eye188 views72 year old man. Vision in the left eye is 20/80. It declined to 5/200 over about 3 years.00000
(0 votes)
patterndys_husmi_021816_21.jpg
Pattern dystrophy with progressive foveal atrophy left eye176 views72 year old man. Vision in the left eye is 20/80. It declined to 5/200 over about 3 years.00000
(0 votes)
patterndys_husmi_021816_23.JPG
Pattern dystrophy with progressive foveal atrophy left eye182 views72 year old man. Vision in the left eye is 20/80. It declined to 5/200 over about 3 years.00000
(0 votes)
patterndys_husmi_021816_25.JPG
Pattern dystrophy with progressive foveal atrophy left eye159 views72 year old man. Vision in the left eye is 20/80. It declined to 5/200 over about 3 years.00000
(0 votes)
patterndys_husmi_021816_24.JPG
Pattern dystrophy with progressive foveal atrophy left eye183 views72 year old man. Vision in the left eye is 20/80. It declined to 5/200 over about 3 years.00000
(0 votes)
     
25 files on 1 page(s)

72 year old man with pattern dystrophy in both eyes. Vision starts at 20/70 left eye and declined to 5/200.