Retina Gallery ~ Full Sized Retina Images

Library of Free, Non-Copyrighted Retina Images and Videos

Choose your language:



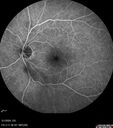
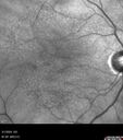
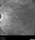
84 year old female The patient had cardiac stents done a week ago. Her stent was done late in the day. She did not notice anything that night but the next morning she noticed that it looked like there was steam coming out of the vent in the ceiling and like there was moister on the mirror. After that her vision changed to look like there was smoke inside her eye. This is more on the left eye than the right eye. Medical Hx: Influenza Immunization Not Received. Pneumococcal Vaccine Not Received. Diabetes Mellitus. Heart attack (2/23/2024). Hypertension, Systemic. Hyperlipidemia. Surgical Hx: Heart Stent (2/23/2024). Hysterectomy. Systemic Meds: Aspirin 81 mg. linaglitin. Metoprolol. NITROGLYCERIN. Ticagrelor. VALSARTAN. VA OD: Dcc20/32 Ncc20/200 VA OS: NccJ16 IOP: TP: OD:11 OS:10

reticular-drusen_119305_052424_03.jpg
Reticular pseudodrusen85 views00000
(0 votes)
reticular-drusen_119305_052424_04.jpg
Reticular pseudodrusen87 views00000
(0 votes)
reticular-drusen_119305_052424_05.jpg
Reticular pseudodrusen91 views00000
(0 votes)
reticular-drusen_119305_052424_06.jpg
Reticular pseudodrusen91 views00000
(0 votes)
reticular-drusen_119305_052424_01.jpg
Reticular pseudodrusen103 views00000
(0 votes)
reticular-drusen_119305_052424_02.jpg
Reticular pseudodrusen103 views00000
(0 votes)
reticular-drusen_119305_052424_07.jpg
Reticular pseudodrusen93 views00000
(0 votes)
reticular-drusen_119305_052424_08.jpg
Reticular pseudodrusen98 views00000
(0 votes)
reticular-drusen_119305_052424_09.jpg
Reticular pseudodrusen93 views00000
(0 votes)
reticular-drusen_119305_052424_10.jpg
Reticular pseudodrusen98 views00000
(0 votes)
reticular-drusen_119305_052424_11.jpg
Reticular pseudodrusen88 views00000
(0 votes)
reticular-drusen_119305_052424_14.jpg
Reticular pseudodrusen102 views00000
(0 votes)
reticular-drusen_119305_052424_13.jpg
Reticular pseudodrusen98 views00000
(0 votes)
reticular-drusen_119305_052424_12.jpg
Reticular pseudodrusen104 views00000
(0 votes)
reticular-drusen_119305_052424_15.jpg
Reticular pseudodrusen106 views00000
(0 votes)
reticular-drusen_119305_052424_16.jpg
Reticular pseudodrusen86 views00000
(0 votes)
reticular-drusen_119305_052424_17.jpg
Reticular pseudodrusen95 views00000
(0 votes)
reticular-drusen_119305_052424_19.jpg
Reticular pseudodrusen90 views00000
(0 votes)
reticular-drusen_119305_052424_20.jpg
Reticular pseudodrusen101 views00000
(0 votes)
reticular-drusen_119305_052424_18.jpg
Reticular pseudodrusen107 views00000
(0 votes)
reticular-drusen_119305_052424_21.jpg
Reticular pseudodrusen100 views00000
(0 votes)
     
21 files on 1 page(s)

84 year old female The patient had cardiac stents done a week ago. Her stent was done late in the day. She did not notice anything that night but the next morning she noticed that it looked like there was steam coming out of the vent in the ceiling and like there was moister on the mirror. After that her vision changed to look like there was smoke inside her eye. This is more on the left eye than the right eye. Medical Hx: Influenza Immunization Not Received. Pneumococcal Vaccine Not Received. Diabetes Mellitus. Heart attack (2/23/2024). Hypertension, Systemic. Hyperlipidemia. Surgical Hx: Heart Stent (2/23/2024). Hysterectomy. Systemic Meds: Aspirin 81 mg. linaglitin. Metoprolol. NITROGLYCERIN. Ticagrelor. VALSARTAN. VA OD: Dcc20/32 Ncc20/200 VA OS: NccJ16 IOP: TP: OD:11 OS:10