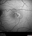
MacTel with foveal atrophy OU
|
|
62 year old female: She has had a gradual decline in vision in both eyes. This has been coming on for about 10 or 20 years. She notices blind spots.
Medical Hx: Hidradenitis suppurativa. Hypertension
Surgical Hx: c section. ovary removed.
Systemic Meds: Humira. vitamin D3. pycnogenol. L Lysine 500mg. Methyl B 12 5000 mcg. Chelation Resveratrol. Zinc 50 mg. Ginko Biloba 120 mg. Olmesartan 5 mg. HCTZ QD. setraline
VA OD: Dsc20/50+1
VA OS: Dsc20/40+1
IOP: TP: OD:19 OS:19
|

MacTel with foveal atrophy in both eyes44 views62 year old female with 20/50 OD, 20/40 OS.     (0 votes)
|
|

MacTel with foveal atrophy in both eyes29 views62 year old female with 20/50 OD, 20/40 OS.     (0 votes)
|
|

MacTel with foveal atrophy in both eyes46 views62 year old female with 20/50 OD, 20/40 OS.     (0 votes)
|
|

MacTel with foveal atrophy in both eyes39 views62 year old female with 20/50 OD, 20/40 OS.     (0 votes)
|
|

MacTel with foveal atrophy in both eyes41 views62 year old female with 20/50 OD, 20/40 OS.     (0 votes)
|
|

MacTel with foveal atrophy in both eyes41 views62 year old female with 20/50 OD, 20/40 OS.     (0 votes)
|
|

MacTel with foveal atrophy in both eyes38 views62 year old female with 20/50 OD, 20/40 OS.     (0 votes)
|
|

MacTel with foveal atrophy in both eyes40 views62 year old female with 20/50 OD, 20/40 OS.     (0 votes)
|
|

MacTel with foveal atrophy in both eyes38 views62 year old female with 20/50 OD, 20/40 OS.     (0 votes)
|
|

MacTel with foveal atrophy in both eyes39 views62 year old female with 20/50 OD, 20/40 OS.     (0 votes)
|
|

MacTel with foveal atrophy in both eyes39 views62 year old female with 20/50 OD, 20/40 OS.     (0 votes)
|
|

MacTel with foveal atrophy in both eyes37 views62 year old female with 20/50 OD, 20/40 OS.     (0 votes)
|
|

MacTel with foveal atrophy in both eyes31 views62 year old female with 20/50 OD, 20/40 OS.     (0 votes)
|
|

MacTel with foveal atrophy in both eyes34 views62 year old female with 20/50 OD, 20/40 OS.     (0 votes)
|
|

MacTel with foveal atrophy in both eyes36 views62 year old female with 20/50 OD, 20/40 OS.     (0 votes)
|
|
|
|
|
62 year old female: She has had a gradual decline in vision in both eyes. This has been coming on for about 10 or 20 years. She notices blind spots.
Medical Hx: Hidradenitis suppurativa. Hypertension
Surgical Hx: c section. ovary removed.
Systemic Meds: Humira. vitamin D3. pycnogenol. L Lysine 500mg. Methyl B 12 5000 mcg. Chelation Resveratrol. Zinc 50 mg. Ginko Biloba 120 mg. Olmesartan 5 mg. HCTZ QD. setraline
VA OD: Dsc20/50+1
VA OS: Dsc20/40+1
IOP: TP: OD:19 OS:19