Retina Gallery ~ Full Sized Retina Images

Library of Free, Non-Copyrighted Retina Images and Videos

Choose your language:



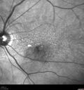
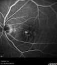
83 year old man Retired aerospace engineer. Blurred vision in both eyes with complex eye history. No acute changes noted by patient. Prior macula-on retinal detachment repair in the right eye a year ago (buckle, vitrectomy, laser, gas, ST Kenalog). Medical Hx: Hypertension, Systemic. Hyperlipidemia. Asthma. Surgical Hx: left shoulder ac separation 2013. Turp 2010. Systemic Meds: Lisinopril, 10 mg oral tablet bid. simvastatin QD. muscinex DM QD. Metformin 100 MG QD. Allergy Medicine. HCTZ QD. PRILOSEC QD. MYBETRIC. MONTULAKAST. Aspirin 81 mg. QUETISPINE 150 MG QD. ESATATOPRAM 20 MG QD. VA OD: Dcc20/50 VA OS: Dcc20/50-2 IOP: TP: OD:15 OS:16 Converted to wet AMD after a single Izervay Treatment

MNV_Izervay_99463_013025_03.jpg
Conversion to Wet AMD after Izervay25 views83 year old man whose left eye had minimal GA and converted from dry to wet AMD after a single Izervay treatment00000
(0 votes)
MNV_Izervay_99463_013025_02.jpg
Conversion to Wet AMD after Izervay27 views83 year old man whose left eye had minimal GA and converted from dry to wet AMD after a single Izervay treatment00000
(0 votes)
MNV_Izervay_99463_013025_01.jpg
Conversion to Wet AMD after Izervay27 views83 year old man whose left eye had minimal GA and converted from dry to wet AMD after a single Izervay treatment00000
(0 votes)
MNV_Izervay_99463_013025_04.jpg
Conversion to Wet AMD after Izervay28 views83 year old man whose left eye had minimal GA and converted from dry to wet AMD after a single Izervay treatment00000
(0 votes)
MNV_Izervay_99463_013025_05.jpg
Conversion to Wet AMD after Izervay33 views83 year old man whose left eye had minimal GA and converted from dry to wet AMD after a single Izervay treatment00000
(0 votes)
MNV_Izervay_99463_013025_06.jpg
Conversion to Wet AMD after Izervay25 views83 year old man whose left eye had minimal GA and converted from dry to wet AMD after a single Izervay treatment00000
(0 votes)
MNV_Izervay_99463_013025_07.jpg
Conversion to Wet AMD after Izervay29 views83 year old man whose left eye had minimal GA and converted from dry to wet AMD after a single Izervay treatment00000
(0 votes)
MNV_Izervay_99463_013025_08.jpg
Conversion to Wet AMD after Izervay27 views83 year old man whose left eye had minimal GA and converted from dry to wet AMD after a single Izervay treatment00000
(0 votes)
MNV_Izervay_99463_013025_09.jpg
Conversion to Wet AMD after Izervay35 views83 year old man whose left eye had minimal GA and converted from dry to wet AMD after a single Izervay treatment00000
(0 votes)
MNV_Izervay_99463_013025_10.jpg
Conversion to Wet AMD after Izervay29 views83 year old man whose left eye had minimal GA and converted from dry to wet AMD after a single Izervay treatment00000
(0 votes)
MNV_Izervay_99463_013025_11.jpg
Conversion to Wet AMD after Izervay34 views83 year old man whose left eye had minimal GA and converted from dry to wet AMD after a single Izervay treatment00000
(0 votes)
MNV_Izervay_99463_013025_12.jpg
Conversion to Wet AMD after Izervay21 views83 year old man whose left eye had minimal GA and converted from dry to wet AMD after a single Izervay treatment00000
(0 votes)
MNV_Izervay_99463_013025_13.jpg
Conversion to Wet AMD after Izervay26 views83 year old man whose left eye had minimal GA and converted from dry to wet AMD after a single Izervay treatment00000
(0 votes)
MNV_Izervay_99463_013025_14.jpg
Conversion to Wet AMD after Izervay36 views83 year old man whose left eye had minimal GA and converted from dry to wet AMD after a single Izervay treatment00000
(0 votes)
MNV_Izervay_99463_013025_15.jpg
Conversion to Wet AMD after Izervay29 views83 year old man whose left eye had minimal GA and converted from dry to wet AMD after a single Izervay treatment00000
(0 votes)
One_Month_Earlier_-_Pre-Izervay_28229.jpg
Conversion to Wet AMD after Izervay37 views83 year old man whose left eye had minimal GA and converted from dry to wet AMD after a single Izervay treatment00000
(0 votes)
One_Month_Earlier_-_Pre-Izervay_28129.jpg
Conversion to Wet AMD after Izervay30 views83 year old man whose left eye had minimal GA and converted from dry to wet AMD after a single Izervay treatment00000
(0 votes)
     
17 files on 1 page(s)

83 year old man Retired aerospace engineer. Blurred vision in both eyes with complex eye history. No acute changes noted by patient. Prior macula-on retinal detachment repair in the right eye a year ago (buckle, vitrectomy, laser, gas, ST Kenalog). Medical Hx: Hypertension, Systemic. Hyperlipidemia. Asthma. Surgical Hx: left shoulder ac separation 2013. Turp 2010. Systemic Meds: Lisinopril, 10 mg oral tablet bid. simvastatin QD. muscinex DM QD. Metformin 100 MG QD. Allergy Medicine. HCTZ QD. PRILOSEC QD. MYBETRIC. MONTULAKAST. Aspirin 81 mg. QUETISPINE 150 MG QD. ESATATOPRAM 20 MG QD. VA OD: Dcc20/50 VA OS: Dcc20/50-2 IOP: TP: OD:15 OS:16 Converted to wet AMD after a single Izervay Treatment