Last additions - Vitreous Hemorrhage and Proliferative Diabetic Retinopathy - Low risk right eye - High Risk Left Eye - Also Fovea Plana 50 year old man: The patient noticed a few days ago, when putting on Contact Lenses for work which were slightly different from his usual strength. He therefore had some trouble at work with the new contact lenses. Then he had some haze in his vision. In the morning he went to see his mother in Venice and there was a new big black line in the left eye when he was getting up from lying down (this was yesterday). Then he noticed a lot of floaters in his vision that looked like blood. This has been fluctuating. You saw him this morning and asked him to come here.
VA OD: Dcc20/20-2 NscJ1+
The patient has type I diabetes diagnosed at age 24 and he is now 50 years old
VA OS: Dcc20/25+2 NscJ1+
IOP: TP: OD:17 OS:19
|

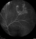
PDR and Vitreous Hemorrhage - High Risk Left Eye - Low Risk Right Eye369 views50 year old man with type I diabetes mellitus for 26 years. New Vitreous Hemorrhage in the left eye. Both eyes have NVE. Both also have foveal hypoplasiaMar 07, 2020
|
|

PDR and Vitreous Hemorrhage - High Risk Left Eye - Low Risk Right Eye348 views50 year old man with type I diabetes mellitus for 26 years. New Vitreous Hemorrhage in the left eye. Both eyes have NVE. Both also have foveal hypoplasiaMar 07, 2020
|
|

PDR and Vitreous Hemorrhage - High Risk Left Eye - Low Risk Right Eye342 views50 year old man with type I diabetes mellitus for 26 years. New Vitreous Hemorrhage in the left eye. Both eyes have NVE. Both also have foveal hypoplasiaMar 07, 2020
|
|

PDR and Vitreous Hemorrhage - High Risk Left Eye - Low Risk Right Eye340 views50 year old man with type I diabetes mellitus for 26 years. New Vitreous Hemorrhage in the left eye. Both eyes have NVE. Both also have foveal hypoplasiaMar 07, 2020
|
|

PDR and Vitreous Hemorrhage - High Risk Left Eye - Low Risk Right Eye582 views50 year old man with type I diabetes mellitus for 26 years. New Vitreous Hemorrhage in the left eye. Both eyes have NVE. Both also have foveal hypoplasiaMar 07, 2020
|
|

PDR and Vitreous Hemorrhage - High Risk Left Eye - Low Risk Right Eye348 views50 year old man with type I diabetes mellitus for 26 years. New Vitreous Hemorrhage in the left eye. Both eyes have NVE. Both also have foveal hypoplasiaMar 07, 2020
|
|

PDR and Vitreous Hemorrhage - High Risk Left Eye - Low Risk Right Eye462 views50 year old man with type I diabetes mellitus for 26 years. New Vitreous Hemorrhage in the left eye. Both eyes have NVE. Both also have foveal hypoplasiaMar 07, 2020
|
|

PDR and Vitreous Hemorrhage - High Risk Left Eye - Low Risk Right Eye395 views50 year old man with type I diabetes mellitus for 26 years. New Vitreous Hemorrhage in the left eye. Both eyes have NVE. Both also have foveal hypoplasiaMar 07, 2020
|
|

PDR and Vitreous Hemorrhage - High Risk Left Eye - Low Risk Right Eye372 views50 year old man with type I diabetes mellitus for 26 years. New Vitreous Hemorrhage in the left eye. Both eyes have NVE. Both also have foveal hypoplasiaMar 07, 2020
|
|

PDR and Vitreous Hemorrhage - High Risk Left Eye - Low Risk Right Eye361 views50 year old man with type I diabetes mellitus for 26 years. New Vitreous Hemorrhage in the left eye. Both eyes have NVE. Both also have foveal hypoplasiaMar 07, 2020
|
|

PDR and Vitreous Hemorrhage - High Risk Left Eye - Low Risk Right Eye399 views50 year old man with type I diabetes mellitus for 26 years. New Vitreous Hemorrhage in the left eye. Both eyes have NVE. Both also have foveal hypoplasiaMar 07, 2020
|
|

PDR and Vitreous Hemorrhage - High Risk Left Eye - Low Risk Right Eye398 views50 year old man with type I diabetes mellitus for 26 years. New Vitreous Hemorrhage in the left eye. Both eyes have NVE. Both also have foveal hypoplasiaMar 07, 2020
|
|

PDR and Vitreous Hemorrhage - High Risk Left Eye - Low Risk Right Eye339 views50 year old man with type I diabetes mellitus for 26 years. New Vitreous Hemorrhage in the left eye. Both eyes have NVE. Both also have foveal hypoplasiaMar 07, 2020
|
|

PDR and Vitreous Hemorrhage - High Risk Left Eye - Low Risk Right Eye351 views50 year old man with type I diabetes mellitus for 26 years. New Vitreous Hemorrhage in the left eye. Both eyes have NVE. Both also have foveal hypoplasiaMar 07, 2020
|
|

PDR and Vitreous Hemorrhage - High Risk Left Eye - Low Risk Right Eye336 views50 year old man with type I diabetes mellitus for 26 years. New Vitreous Hemorrhage in the left eye. Both eyes have NVE. Both also have foveal hypoplasiaMar 07, 2020
|
|

PDR and Vitreous Hemorrhage - High Risk Left Eye - Low Risk Right Eye402 views50 year old man with type I diabetes mellitus for 26 years. New Vitreous Hemorrhage in the left eye. Both eyes have NVE. Both also have foveal hypoplasiaMar 07, 2020
|
|

PDR and Vitreous Hemorrhage - High Risk Left Eye - Low Risk Right Eye327 views50 year old man with type I diabetes mellitus for 26 years. New Vitreous Hemorrhage in the left eye. Both eyes have NVE. Both also have foveal hypoplasiaMar 07, 2020
|
|

PDR and Vitreous Hemorrhage - High Risk Left Eye - Low Risk Right Eye340 views50 year old man with type I diabetes mellitus for 26 years. New Vitreous Hemorrhage in the left eye. Both eyes have NVE. Both also have foveal hypoplasiaMar 07, 2020
|
|

PDR and Vitreous Hemorrhage - High Risk Left Eye - Low Risk Right Eye344 views50 year old man with type I diabetes mellitus for 26 years. New Vitreous Hemorrhage in the left eye. Both eyes have NVE. Both also have foveal hypoplasiaMar 07, 2020
|
|

PDR and Vitreous Hemorrhage - High Risk Left Eye - Low Risk Right Eye330 views50 year old man with type I diabetes mellitus for 26 years. New Vitreous Hemorrhage in the left eye. Both eyes have NVE. Both also have foveal hypoplasiaMar 07, 2020
|
|

PDR and Vitreous Hemorrhage - High Risk Left Eye - Low Risk Right Eye413 views50 year old man with type I diabetes mellitus for 26 years. New Vitreous Hemorrhage in the left eye. Both eyes have NVE. Both also have foveal hypoplasiaMar 07, 2020
|
|

PDR and Vitreous Hemorrhage - High Risk Left Eye - Low Risk Right Eye313 views50 year old man with type I diabetes mellitus for 26 years. New Vitreous Hemorrhage in the left eye. Both eyes have NVE. Both also have foveal hypoplasiaMar 07, 2020
|
|

PDR and Vitreous Hemorrhage - High Risk Left Eye - Low Risk Right Eye354 views50 year old man with type I diabetes mellitus for 26 years. New Vitreous Hemorrhage in the left eye. Both eyes have NVE. Both also have foveal hypoplasiaMar 07, 2020
|
|

PDR and Vitreous Hemorrhage - High Risk Left Eye - Low Risk Right Eye352 views50 year old man with type I diabetes mellitus for 26 years. New Vitreous Hemorrhage in the left eye. Both eyes have NVE. Both also have foveal hypoplasiaMar 07, 2020
|
|

PDR and Vitreous Hemorrhage - High Risk Left Eye - Low Risk Right Eye331 views50 year old man with type I diabetes mellitus for 26 years. New Vitreous Hemorrhage in the left eye. Both eyes have NVE. Both also have foveal hypoplasiaMar 07, 2020
|
|

PDR and Vitreous Hemorrhage - High Risk Left Eye - Low Risk Right Eye351 views50 year old man with type I diabetes mellitus for 26 years. New Vitreous Hemorrhage in the left eye. Both eyes have NVE. Both also have foveal hypoplasiaMar 07, 2020
|
|

PDR and Vitreous Hemorrhage - High Risk Left Eye - Low Risk Right Eye374 views50 year old man with type I diabetes mellitus for 26 years. New Vitreous Hemorrhage in the left eye. Both eyes have NVE. Both also have foveal hypoplasiaMar 07, 2020
|
|

PDR and Vitreous Hemorrhage - High Risk Left Eye - Low Risk Right Eye368 views50 year old man with type I diabetes mellitus for 26 years. New Vitreous Hemorrhage in the left eye. Both eyes have NVE. Both also have foveal hypoplasiaMar 07, 2020
|
|

PDR and Vitreous Hemorrhage - High Risk Left Eye - Low Risk Right Eye413 views50 year old man with type I diabetes mellitus for 26 years. New Vitreous Hemorrhage in the left eye. Both eyes have NVE. Both also have foveal hypoplasiaMar 07, 2020
|
|
|
|
|
|
|
50 year old man: The patient noticed a few days ago, when putting on Contact Lenses for work which were slightly different from his usual strength. He therefore had some trouble at work with the new contact lenses. Then he had some haze in his vision. In the morning he went to see his mother in Venice and there was a new big black line in the left eye when he was getting up from lying down (this was yesterday). Then he noticed a lot of floaters in his vision that looked like blood. This has been fluctuating. You saw him this morning and asked him to come here.
VA OD: Dcc20/20-2 NscJ1+
The patient has type I diabetes diagnosed at age 24 and he is now 50 years old
VA OS: Dcc20/25+2 NscJ1+
IOP: TP: OD:17 OS:19