Last additions - Severe Diabetic Macular Edema and Siegrist Streaks 56 year old female. seen in 5/2023 -
She injured her right foot with a roofing nail and got necrotizing fasciitis (4/2020). With the necrotizing fasciitis, she entered multiple organ failure but recovered. She does not know if she had high blood pressure or DIC. Before that she could see well except that she needed reading glasses. She was then put into hyperbaric and got a myopic shift. She was also diagnosed with diabetes. Her A1C now is very good. At the time of her infection her A1C was very high for less than a few months. She noticed a shadow that comes and goes within the last 6 months in just the left eye. The right eye does not see well, everything is not crisp. She just ordered new glasses and does not know what her vision would be. She has not had an eye examination in a few years. She was concerned about the shift and needing to update her glasses.
Medical Hx: Diabetes Type II with Ocular Complications. Thyroid Disease. Influenza Immunization Not Received. Pneumococcal Vaccine Not Received.
Surgical Hx: foot surgery.
Systemic Meds: MOUNJARO- tirzepatide injection, solution.
VA OD: sc20/80+1 PHNI NscJ16
VA OS: sc20/100 PHNI NscJ16
IOP: TP: OD:10 OS:11
|

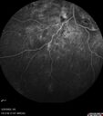
Siegrist Streaks and severe diabetic macular edema161 views56 year old female who presents four years after developing necrotizing fascitis and multiple organ failure from an infected foot from a roofing nail. Her vision was 20/100 OU. She has multiple peripheral pigment spots consistent with Siegrist streaks.Sep 19, 2023
|
|

Siegrist Streaks and severe diabetic macular edema186 views56 year old female who presents four years after developing necrotizing fascitis and multiple organ failure from an infected foot from a roofing nail. Her vision was 20/100 OU. She has multiple peripheral pigment spots consistent with Siegrist streaks.Sep 19, 2023
|
|

Siegrist Streaks and severe diabetic macular edema147 views56 year old female who presents four years after developing necrotizing fascitis and multiple organ failure from an infected foot from a roofing nail. Her vision was 20/100 OU. She has multiple peripheral pigment spots consistent with Siegrist streaks.Sep 19, 2023
|
|

Siegrist Streaks and severe diabetic macular edema161 views56 year old female who presents four years after developing necrotizing fascitis and multiple organ failure from an infected foot from a roofing nail. Her vision was 20/100 OU. She has multiple peripheral pigment spots consistent with Siegrist streaks.Sep 19, 2023
|
|

Siegrist Streaks and severe diabetic macular edema172 views56 year old female who presents four years after developing necrotizing fascitis and multiple organ failure from an infected foot from a roofing nail. Her vision was 20/100 OU. She has multiple peripheral pigment spots consistent with Siegrist streaks.Sep 19, 2023
|
|

Siegrist Streaks and severe diabetic macular edema163 views56 year old female who presents four years after developing necrotizing fascitis and multiple organ failure from an infected foot from a roofing nail. Her vision was 20/100 OU. She has multiple peripheral pigment spots consistent with Siegrist streaks.Sep 19, 2023
|
|

Siegrist Streaks and severe diabetic macular edema138 views56 year old female who presents four years after developing necrotizing fascitis and multiple organ failure from an infected foot from a roofing nail. Her vision was 20/100 OU. She has multiple peripheral pigment spots consistent with Siegrist streaks.Sep 19, 2023
|
|

Siegrist Streaks and severe diabetic macular edema153 views56 year old female who presents four years after developing necrotizing fascitis and multiple organ failure from an infected foot from a roofing nail. Her vision was 20/100 OU. She has multiple peripheral pigment spots consistent with Siegrist streaks.Sep 19, 2023
|
|

Siegrist Streaks and severe diabetic macular edema152 views56 year old female who presents four years after developing necrotizing fascitis and multiple organ failure from an infected foot from a roofing nail. Her vision was 20/100 OU. She has multiple peripheral pigment spots consistent with Siegrist streaks.Sep 19, 2023
|
|

Siegrist Streaks and severe diabetic macular edema145 views56 year old female who presents four years after developing necrotizing fascitis and multiple organ failure from an infected foot from a roofing nail. Her vision was 20/100 OU. She has multiple peripheral pigment spots consistent with Siegrist streaks.Sep 19, 2023
|
|

Siegrist Streaks and severe diabetic macular edema138 views56 year old female who presents four years after developing necrotizing fascitis and multiple organ failure from an infected foot from a roofing nail. Her vision was 20/100 OU. She has multiple peripheral pigment spots consistent with Siegrist streaks.Sep 19, 2023
|
|

Siegrist Streaks and severe diabetic macular edema148 views56 year old female who presents four years after developing necrotizing fascitis and multiple organ failure from an infected foot from a roofing nail. Her vision was 20/100 OU. She has multiple peripheral pigment spots consistent with Siegrist streaks.Sep 19, 2023
|
|

Siegrist Streaks and severe diabetic macular edema124 views56 year old female who presents four years after developing necrotizing fascitis and multiple organ failure from an infected foot from a roofing nail. Her vision was 20/100 OU. She has multiple peripheral pigment spots consistent with Siegrist streaks.Sep 19, 2023
|
|

Siegrist Streaks and severe diabetic macular edema138 views56 year old female who presents four years after developing necrotizing fascitis and multiple organ failure from an infected foot from a roofing nail. Her vision was 20/100 OU. She has multiple peripheral pigment spots consistent with Siegrist streaks.Sep 19, 2023
|
|

Siegrist Streaks and severe diabetic macular edema137 views56 year old female who presents four years after developing necrotizing fascitis and multiple organ failure from an infected foot from a roofing nail. Her vision was 20/100 OU. She has multiple peripheral pigment spots consistent with Siegrist streaks.Sep 19, 2023
|
|

Siegrist Streaks and severe diabetic macular edema126 views56 year old female who presents four years after developing necrotizing fascitis and multiple organ failure from an infected foot from a roofing nail. Her vision was 20/100 OU. She has multiple peripheral pigment spots consistent with Siegrist streaks.Sep 19, 2023
|
|

Siegrist Streaks and severe diabetic macular edema145 views56 year old female who presents four years after developing necrotizing fascitis and multiple organ failure from an infected foot from a roofing nail. Her vision was 20/100 OU. She has multiple peripheral pigment spots consistent with Siegrist streaks.Sep 19, 2023
|
|

Siegrist Streaks and severe diabetic macular edema136 views56 year old female who presents four years after developing necrotizing fascitis and multiple organ failure from an infected foot from a roofing nail. Her vision was 20/100 OU. She has multiple peripheral pigment spots consistent with Siegrist streaks.Sep 19, 2023
|
|

Siegrist Streaks and severe diabetic macular edema174 views56 year old female who presents four years after developing necrotizing fascitis and multiple organ failure from an infected foot from a roofing nail. Her vision was 20/100 OU. She has multiple peripheral pigment spots consistent with Siegrist streaks.Sep 19, 2023
|
|

Siegrist Streaks and severe diabetic macular edema145 views56 year old female who presents four years after developing necrotizing fascitis and multiple organ failure from an infected foot from a roofing nail. Her vision was 20/100 OU. She has multiple peripheral pigment spots consistent with Siegrist streaks.Sep 19, 2023
|
|

Siegrist Streaks and severe diabetic macular edema144 views56 year old female who presents four years after developing necrotizing fascitis and multiple organ failure from an infected foot from a roofing nail. Her vision was 20/100 OU. She has multiple peripheral pigment spots consistent with Siegrist streaks.Sep 19, 2023
|
|

Siegrist Streaks and severe diabetic macular edema165 views56 year old female who presents four years after developing necrotizing fascitis and multiple organ failure from an infected foot from a roofing nail. Her vision was 20/100 OU. She has multiple peripheral pigment spots consistent with Siegrist streaks.Sep 19, 2023
|
|

Siegrist Streaks and severe diabetic macular edema141 views56 year old female who presents four years after developing necrotizing fascitis and multiple organ failure from an infected foot from a roofing nail. Her vision was 20/100 OU. She has multiple peripheral pigment spots consistent with Siegrist streaks.Sep 19, 2023
|
|

Siegrist Streaks and severe diabetic macular edema132 views56 year old female who presents four years after developing necrotizing fascitis and multiple organ failure from an infected foot from a roofing nail. Her vision was 20/100 OU. She has multiple peripheral pigment spots consistent with Siegrist streaks.Sep 19, 2023
|
|

Siegrist Streaks and severe diabetic macular edema124 views56 year old female who presents four years after developing necrotizing fascitis and multiple organ failure from an infected foot from a roofing nail. Her vision was 20/100 OU. She has multiple peripheral pigment spots consistent with Siegrist streaks.Sep 19, 2023
|
|

Siegrist Streaks and severe diabetic macular edema167 views56 year old female who presents four years after developing necrotizing fascitis and multiple organ failure from an infected foot from a roofing nail. Her vision was 20/100 OU. She has multiple peripheral pigment spots consistent with Siegrist streaks.Sep 19, 2023
|
|

Siegrist Streaks and severe diabetic macular edema131 views56 year old female who presents four years after developing necrotizing fascitis and multiple organ failure from an infected foot from a roofing nail. Her vision was 20/100 OU. She has multiple peripheral pigment spots consistent with Siegrist streaks.Sep 19, 2023
|
|

Siegrist Streaks and severe diabetic macular edema169 views56 year old female who presents four years after developing necrotizing fascitis and multiple organ failure from an infected foot from a roofing nail. Her vision was 20/100 OU. She has multiple peripheral pigment spots consistent with Siegrist streaks.Sep 19, 2023
|
|

Siegrist Streaks and severe diabetic macular edema149 views56 year old female who presents four years after developing necrotizing fascitis and multiple organ failure from an infected foot from a roofing nail. Her vision was 20/100 OU. She has multiple peripheral pigment spots consistent with Siegrist streaks.Sep 19, 2023
|
|

Siegrist Streaks and severe diabetic macular edema163 views56 year old female who presents four years after developing necrotizing fascitis and multiple organ failure from an infected foot from a roofing nail. Her vision was 20/100 OU. She has multiple peripheral pigment spots consistent with Siegrist streaks.Sep 19, 2023
|
|

Siegrist Streaks and severe diabetic macular edema170 views56 year old female who presents four years after developing necrotizing fascitis and multiple organ failure from an infected foot from a roofing nail. Her vision was 20/100 OU. She has multiple peripheral pigment spots consistent with Siegrist streaks.Sep 19, 2023
|
|

Siegrist Streaks and severe diabetic macular edema187 views56 year old female who presents four years after developing necrotizing fascitis and multiple organ failure from an infected foot from a roofing nail. Her vision was 20/100 OU. She has multiple peripheral pigment spots consistent with Siegrist streaks.Sep 19, 2023
|
|

Siegrist Streaks and severe diabetic macular edema176 views56 year old female who presents four years after developing necrotizing fascitis and multiple organ failure from an infected foot from a roofing nail. Her vision was 20/100 OU. She has multiple peripheral pigment spots consistent with Siegrist streaks.Sep 19, 2023
|
|

Siegrist Streaks and severe diabetic macular edema150 views56 year old female who presents four years after developing necrotizing fascitis and multiple organ failure from an infected foot from a roofing nail. Her vision was 20/100 OU. She has multiple peripheral pigment spots consistent with Siegrist streaks.Sep 19, 2023
|
|
|
|
|
|
56 year old female. seen in 5/2023 -
She injured her right foot with a roofing nail and got necrotizing fasciitis (4/2020). With the necrotizing fasciitis, she entered multiple organ failure but recovered. She does not know if she had high blood pressure or DIC. Before that she could see well except that she needed reading glasses. She was then put into hyperbaric and got a myopic shift. She was also diagnosed with diabetes. Her A1C now is very good. At the time of her infection her A1C was very high for less than a few months. She noticed a shadow that comes and goes within the last 6 months in just the left eye. The right eye does not see well, everything is not crisp. She just ordered new glasses and does not know what her vision would be. She has not had an eye examination in a few years. She was concerned about the shift and needing to update her glasses.
Medical Hx: Diabetes Type II with Ocular Complications. Thyroid Disease. Influenza Immunization Not Received. Pneumococcal Vaccine Not Received.
Surgical Hx: foot surgery.
Systemic Meds: MOUNJARO- tirzepatide injection, solution.
VA OD: sc20/80+1 PHNI NscJ16
VA OS: sc20/100 PHNI NscJ16
IOP: TP: OD:10 OS:11