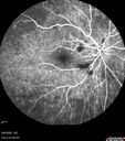
Last additions - Cotton wool spots following Cario-pulmonary bypass 58 year old man The patient had emergency thoracotomy about 3 weeks ago he had an aortic dissection with a root aneurysm. It had dissected down to the iliacs. The patient had a thoracotomy and aortic valve replacement and large aortic graft. He did well post-op and then he noticed when he got out of the hospital that the right eye was worse. The right eye had been weaker than the left even after LASIK in the early 2000s. Over the last 7 days now that he has noticed that the right eye is getting better each day. He is on coumadin and will be on it for 3 months. He noticed 10 days ago that there was some graying in the right eye which is now getting a little bit better.
Medical Hx: Kidney Disease. type 1 aortic dissection / aneurysm .
Surgical Hx: thoracotomy . valve replacement . aortic graft.
Systemic Meds: Wellbutrin XL 150 MG 24 HR Extended Release Tablet. Coumadin 3 MG Oral Tablet. METOPROLOL TARTRATE. Simvastatin, 20 mg oral tablet.
VA OD: Dsc20/20-2 NccJ5
VA OS: Dsc20/16-1 NccJ2
IOP: TP: OD:12 OS:11
|

Cotton Wool Spots following cardio-pulmonary bypass28 viewsThe patient had emergency thoracotomy about 3 weeks ago he had an aortic dissection with a root aneurysm. It had dissected down to the iliacs. The patient had a thoracotomy and aortic valve replacement and large aortic graft.Mar 15, 2026
|
|

Cotton Wool Spots following cardio-pulmonary bypass26 viewsThe patient had emergency thoracotomy about 3 weeks ago he had an aortic dissection with a root aneurysm. It had dissected down to the iliacs. The patient had a thoracotomy and aortic valve replacement and large aortic graft.Mar 15, 2026
|
|

Cotton Wool Spots following cardio-pulmonary bypass36 viewsThe patient had emergency thoracotomy about 3 weeks ago he had an aortic dissection with a root aneurysm. It had dissected down to the iliacs. The patient had a thoracotomy and aortic valve replacement and large aortic graft.Mar 15, 2026
|
|

Cotton Wool Spots following cardio-pulmonary bypass30 viewsThe patient had emergency thoracotomy about 3 weeks ago he had an aortic dissection with a root aneurysm. It had dissected down to the iliacs. The patient had a thoracotomy and aortic valve replacement and large aortic graft.Mar 15, 2026
|
|

Cotton Wool Spots following cardio-pulmonary bypass30 viewsThe patient had emergency thoracotomy about 3 weeks ago he had an aortic dissection with a root aneurysm. It had dissected down to the iliacs. The patient had a thoracotomy and aortic valve replacement and large aortic graft.Mar 15, 2026
|
|

Cotton Wool Spots following cardio-pulmonary bypass26 viewsThe patient had emergency thoracotomy about 3 weeks ago he had an aortic dissection with a root aneurysm. It had dissected down to the iliacs. The patient had a thoracotomy and aortic valve replacement and large aortic graft.Mar 15, 2026
|
|

Cotton Wool Spots following cardio-pulmonary bypass27 viewsThe patient had emergency thoracotomy about 3 weeks ago he had an aortic dissection with a root aneurysm. It had dissected down to the iliacs. The patient had a thoracotomy and aortic valve replacement and large aortic graft.Mar 15, 2026
|
|

Cotton Wool Spots following cardio-pulmonary bypass19 viewsThe patient had emergency thoracotomy about 3 weeks ago he had an aortic dissection with a root aneurysm. It had dissected down to the iliacs. The patient had a thoracotomy and aortic valve replacement and large aortic graft.Mar 15, 2026
|
|

Cotton Wool Spots following cardio-pulmonary bypass20 viewsThe patient had emergency thoracotomy about 3 weeks ago he had an aortic dissection with a root aneurysm. It had dissected down to the iliacs. The patient had a thoracotomy and aortic valve replacement and large aortic graft.Mar 15, 2026
|
|

Cotton Wool Spots following cardio-pulmonary bypass20 viewsThe patient had emergency thoracotomy about 3 weeks ago he had an aortic dissection with a root aneurysm. It had dissected down to the iliacs. The patient had a thoracotomy and aortic valve replacement and large aortic graft.Mar 15, 2026
|
|

Cotton Wool Spots following cardio-pulmonary bypass27 viewsThe patient had emergency thoracotomy about 3 weeks ago he had an aortic dissection with a root aneurysm. It had dissected down to the iliacs. The patient had a thoracotomy and aortic valve replacement and large aortic graft.Mar 15, 2026
|
|

Cotton Wool Spots following cardio-pulmonary bypass24 viewsThe patient had emergency thoracotomy about 3 weeks ago he had an aortic dissection with a root aneurysm. It had dissected down to the iliacs. The patient had a thoracotomy and aortic valve replacement and large aortic graft.Mar 15, 2026
|
|

Cotton Wool Spots following cardio-pulmonary bypass23 viewsThe patient had emergency thoracotomy about 3 weeks ago he had an aortic dissection with a root aneurysm. It had dissected down to the iliacs. The patient had a thoracotomy and aortic valve replacement and large aortic graft.Mar 15, 2026
|
|

Cotton Wool Spots following cardio-pulmonary bypass27 viewsThe patient had emergency thoracotomy about 3 weeks ago he had an aortic dissection with a root aneurysm. It had dissected down to the iliacs. The patient had a thoracotomy and aortic valve replacement and large aortic graft.Mar 15, 2026
|
|

Cotton Wool Spots following cardio-pulmonary bypass21 viewsThe patient had emergency thoracotomy about 3 weeks ago he had an aortic dissection with a root aneurysm. It had dissected down to the iliacs. The patient had a thoracotomy and aortic valve replacement and large aortic graft.Mar 15, 2026
|
|

Cotton Wool Spots following cardio-pulmonary bypass32 viewsThe patient had emergency thoracotomy about 3 weeks ago he had an aortic dissection with a root aneurysm. It had dissected down to the iliacs. The patient had a thoracotomy and aortic valve replacement and large aortic graft.Mar 15, 2026
|
|

Cotton Wool Spots following cardio-pulmonary bypass23 viewsThe patient had emergency thoracotomy about 3 weeks ago he had an aortic dissection with a root aneurysm. It had dissected down to the iliacs. The patient had a thoracotomy and aortic valve replacement and large aortic graft.Mar 15, 2026
|
|

Cotton Wool Spots following cardio-pulmonary bypass34 viewsThe patient had emergency thoracotomy about 3 weeks ago he had an aortic dissection with a root aneurysm. It had dissected down to the iliacs. The patient had a thoracotomy and aortic valve replacement and large aortic graft.Mar 15, 2026
|
|

Cotton Wool Spots following cardio-pulmonary bypass27 viewsThe patient had emergency thoracotomy about 3 weeks ago he had an aortic dissection with a root aneurysm. It had dissected down to the iliacs. The patient had a thoracotomy and aortic valve replacement and large aortic graft.Mar 15, 2026
|
|

Cotton Wool Spots following cardio-pulmonary bypass30 viewsThe patient had emergency thoracotomy about 3 weeks ago he had an aortic dissection with a root aneurysm. It had dissected down to the iliacs. The patient had a thoracotomy and aortic valve replacement and large aortic graft.Mar 15, 2026
|
|
|
|
58 year old man The patient had emergency thoracotomy about 3 weeks ago he had an aortic dissection with a root aneurysm. It had dissected down to the iliacs. The patient had a thoracotomy and aortic valve replacement and large aortic graft. He did well post-op and then he noticed when he got out of the hospital that the right eye was worse. The right eye had been weaker than the left even after LASIK in the early 2000s. Over the last 7 days now that he has noticed that the right eye is getting better each day. He is on coumadin and will be on it for 3 months. He noticed 10 days ago that there was some graying in the right eye which is now getting a little bit better.
Medical Hx: Kidney Disease. type 1 aortic dissection / aneurysm .
Surgical Hx: thoracotomy . valve replacement . aortic graft.
Systemic Meds: Wellbutrin XL 150 MG 24 HR Extended Release Tablet. Coumadin 3 MG Oral Tablet. METOPROLOL TARTRATE. Simvastatin, 20 mg oral tablet.
VA OD: Dsc20/20-2 NccJ5
VA OS: Dsc20/16-1 NccJ2
IOP: TP: OD:12 OS:11