Retina Gallery ~ Full Sized Retina Images

Library of Free, Non-Copyrighted Retina Images and Videos

Choose your language:

Most viewed - Stargardt Sibling - ABCA4 3 mutations

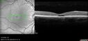
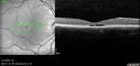
24 year old male (seen in 2023) IN 2017, he had his first traumatic brain injury. Once was impact and two were concussive. His most recent brain injury was November of 2021. He did artillery's and he was around a lot while things were being shot. He was bitten twice by black widows and has some nerve damage from that. He has 8 microbrain lesions (like baby MS). One lesion was in the optic nerve. One reason for coming is to see what he can see. He just retired out of the military in 8/2022. With that he was seeing pretty well out of both eyes. He was thought at the time to have very poor vision from nerve damage. Now his vision has improved (starting about a month ago). In January of 2022 his vision declined and then in November of 2022 his vision returned. There is no chance that he has MS according to test. His mother and sister have Stargardts disease and his father has retinitis pigmentosa VA OD: sc20/32 NscJ1+ VA OS: sc20/32 NscJ1+ IOP: TP: OD:13 OS:13

stargardt-mild_pacai_121622_16.jpg
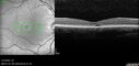
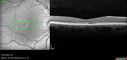
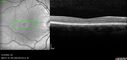
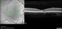
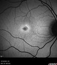
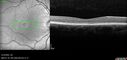
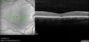
Stargardt Disease - Very Mild - 24 year old225 viewsThis patient has 3 different ABCA4 mutations. His mother and sister have stargardts and his father has RP. His sisters images are also on Retinagallery.com
stargardt-mild_pacai_121622_27.jpg
Stargardt Disease - Very Mild - 24 year old220 viewsThis patient has 3 different ABCA4 mutations. His mother and sister have stargardts and his father has RP. His sisters images are also on Retinagallery.com
stargardt-mild_pacai_121622_05.jpg
Stargardt Disease - Very Mild - 24 year old218 viewsThis patient has 3 different ABCA4 mutations. His mother and sister have stargardts and his father has RP. His sisters images are also on Retinagallery.com
stargardt-mild_pacai_121622_15.jpg
Stargardt Disease - Very Mild - 24 year old218 viewsThis patient has 3 different ABCA4 mutations. His mother and sister have stargardts and his father has RP. His sisters images are also on Retinagallery.com
stargardt-mild_pacai_121622_38.jpg
Stargardt Disease - Very Mild - 24 year old218 viewsThis patient has 3 different ABCA4 mutations. His mother and sister have stargardts and his father has RP. His sisters images are also on Retinagallery.com
stargardt-mild_pacai_121622_62.jpg
Stargardt Disease - Very Mild - 24 year old218 viewsThis patient has 3 different ABCA4 mutations. His mother and sister have stargardts and his father has RP. His sisters images are also on Retinagallery.com
stargardt-mild_pacai_121622_18.jpg
Stargardt Disease - Very Mild - 24 year old217 viewsThis patient has 3 different ABCA4 mutations. His mother and sister have stargardts and his father has RP. His sisters images are also on Retinagallery.com
stargardt-mild_pacai_121622_28.jpg
Stargardt Disease - Very Mild - 24 year old215 viewsThis patient has 3 different ABCA4 mutations. His mother and sister have stargardts and his father has RP. His sisters images are also on Retinagallery.com
stargardt-mild_pacai_121622_47.jpg
Stargardt Disease - Very Mild - 24 year old215 viewsThis patient has 3 different ABCA4 mutations. His mother and sister have stargardts and his father has RP. His sisters images are also on Retinagallery.com
stargardt-mild_pacai_121622_61.jpg
Stargardt Disease - Very Mild - 24 year old215 viewsThis patient has 3 different ABCA4 mutations. His mother and sister have stargardts and his father has RP. His sisters images are also on Retinagallery.com
stargardt-mild_pacai_121622_04.jpg
Stargardt Disease - Very Mild - 24 year old212 viewsThis patient has 3 different ABCA4 mutations. His mother and sister have stargardts and his father has RP. His sisters images are also on Retinagallery.com
stargardt-mild_pacai_121622_63.jpg
Stargardt Disease - Very Mild - 24 year old212 viewsThis patient has 3 different ABCA4 mutations. His mother and sister have stargardts and his father has RP. His sisters images are also on Retinagallery.com
stargardt-mild_pacai_121622_59.jpg
Stargardt Disease - Very Mild - 24 year old209 viewsThis patient has 3 different ABCA4 mutations. His mother and sister have stargardts and his father has RP. His sisters images are also on Retinagallery.com
stargardt-mild_pacai_121622_34.jpg
Stargardt Disease - Very Mild - 24 year old207 viewsThis patient has 3 different ABCA4 mutations. His mother and sister have stargardts and his father has RP. His sisters images are also on Retinagallery.com
stargardt-mild_pacai_121622_29.jpg
Stargardt Disease - Very Mild - 24 year old204 viewsThis patient has 3 different ABCA4 mutations. His mother and sister have stargardts and his father has RP. His sisters images are also on Retinagallery.com
stargardt-mild_pacai_121622_02.jpg
Stargardt Disease - Very Mild - 24 year old200 viewsThis patient has 3 different ABCA4 mutations. His mother and sister have stargardts and his father has RP. His sisters images are also on Retinagallery.com
stargardt-mild_pacai_121622_14.jpg
Stargardt Disease - Very Mild - 24 year old200 viewsThis patient has 3 different ABCA4 mutations. His mother and sister have stargardts and his father has RP. His sisters images are also on Retinagallery.com
stargardt-mild_pacai_121622_64.jpg
Stargardt Disease - Very Mild - 24 year old200 viewsThis patient has 3 different ABCA4 mutations. His mother and sister have stargardts and his father has RP. His sisters images are also on Retinagallery.com
stargardt-mild_pacai_121622_36.jpg
Stargardt Disease - Very Mild - 24 year old197 viewsThis patient has 3 different ABCA4 mutations. His mother and sister have stargardts and his father has RP. His sisters images are also on Retinagallery.com
stargardt-mild_pacai_121622_45.jpg
Stargardt Disease - Very Mild - 24 year old197 viewsThis patient has 3 different ABCA4 mutations. His mother and sister have stargardts and his father has RP. His sisters images are also on Retinagallery.com
stargardt-mild_pacai_121622_53.jpg
Stargardt Disease - Very Mild - 24 year old197 viewsThis patient has 3 different ABCA4 mutations. His mother and sister have stargardts and his father has RP. His sisters images are also on Retinagallery.com
stargardt-mild_pacai_121622_09.jpg
Stargardt Disease - Very Mild - 24 year old195 viewsThis patient has 3 different ABCA4 mutations. His mother and sister have stargardts and his father has RP. His sisters images are also on Retinagallery.com
stargardt-mild_pacai_121622_10.jpg
Stargardt Disease - Very Mild - 24 year old195 viewsThis patient has 3 different ABCA4 mutations. His mother and sister have stargardts and his father has RP. His sisters images are also on Retinagallery.com
stargardt-mild_pacai_121622_32.jpg
Stargardt Disease - Very Mild - 24 year old194 viewsThis patient has 3 different ABCA4 mutations. His mother and sister have stargardts and his father has RP. His sisters images are also on Retinagallery.com
stargardt-mild_pacai_121622_43.jpg
Stargardt Disease - Very Mild - 24 year old194 viewsThis patient has 3 different ABCA4 mutations. His mother and sister have stargardts and his father has RP. His sisters images are also on Retinagallery.com
stargardt-mild_pacai_121622_60.jpg
Stargardt Disease - Very Mild - 24 year old194 viewsThis patient has 3 different ABCA4 mutations. His mother and sister have stargardts and his father has RP. His sisters images are also on Retinagallery.com
stargardt-mild_pacai_121622_58.jpg
Stargardt Disease - Very Mild - 24 year old193 viewsThis patient has 3 different ABCA4 mutations. His mother and sister have stargardts and his father has RP. His sisters images are also on Retinagallery.com
stargardt-mild_pacai_121622_13.jpg
Stargardt Disease - Very Mild - 24 year old192 viewsThis patient has 3 different ABCA4 mutations. His mother and sister have stargardts and his father has RP. His sisters images are also on Retinagallery.com
stargardt-mild_pacai_121622_39.jpg
Stargardt Disease - Very Mild - 24 year old188 viewsThis patient has 3 different ABCA4 mutations. His mother and sister have stargardts and his father has RP. His sisters images are also on Retinagallery.com
Genetic_Testing.JPG
Stargardt Disease - Very Mild - 24 year old188 viewsThis patient has 3 different ABCA4 mutations. His mother and sister have stargardts and his father has RP. His sisters images are also on Retinagallery.com
stargardt-mild_pacai_121622_08.jpg
Stargardt Disease - Very Mild - 24 year old186 viewsThis patient has 3 different ABCA4 mutations. His mother and sister have stargardts and his father has RP. His sisters images are also on Retinagallery.com
stargardt-mild_pacai_121622_33.jpg
Stargardt Disease - Very Mild - 24 year old185 viewsThis patient has 3 different ABCA4 mutations. His mother and sister have stargardts and his father has RP. His sisters images are also on Retinagallery.com
stargardt-mild_pacai_121622_50.jpg
Stargardt Disease - Very Mild - 24 year old184 viewsThis patient has 3 different ABCA4 mutations. His mother and sister have stargardts and his father has RP. His sisters images are also on Retinagallery.com
stargardt-mild_pacai_121622_19.jpg
Stargardt Disease - Very Mild - 24 year old183 viewsThis patient has 3 different ABCA4 mutations. His mother and sister have stargardts and his father has RP. His sisters images are also on Retinagallery.com
stargardt-mild_pacai_121622_37.jpg
Stargardt Disease - Very Mild - 24 year old183 viewsThis patient has 3 different ABCA4 mutations. His mother and sister have stargardts and his father has RP. His sisters images are also on Retinagallery.com
stargardt-mild_pacai_121622_11.jpg
Stargardt Disease - Very Mild - 24 year old182 viewsThis patient has 3 different ABCA4 mutations. His mother and sister have stargardts and his father has RP. His sisters images are also on Retinagallery.com
stargardt-mild_pacai_121622_46.jpg
Stargardt Disease - Very Mild - 24 year old182 viewsThis patient has 3 different ABCA4 mutations. His mother and sister have stargardts and his father has RP. His sisters images are also on Retinagallery.com
stargardt-mild_pacai_121622_20.jpg
Stargardt Disease - Very Mild - 24 year old180 viewsThis patient has 3 different ABCA4 mutations. His mother and sister have stargardts and his father has RP. His sisters images are also on Retinagallery.com
stargardt-mild_pacai_121622_06.jpg
Stargardt Disease - Very Mild - 24 year old179 viewsThis patient has 3 different ABCA4 mutations. His mother and sister have stargardts and his father has RP. His sisters images are also on Retinagallery.com
stargardt-mild_pacai_121622_12.jpg
Stargardt Disease - Very Mild - 24 year old179 viewsThis patient has 3 different ABCA4 mutations. His mother and sister have stargardts and his father has RP. His sisters images are also on Retinagallery.com
stargardt-mild_pacai_121622_24.jpg
Stargardt Disease - Very Mild - 24 year old179 viewsThis patient has 3 different ABCA4 mutations. His mother and sister have stargardts and his father has RP. His sisters images are also on Retinagallery.com
stargardt-mild_pacai_121622_17.jpg
Stargardt Disease - Very Mild - 24 year old178 viewsThis patient has 3 different ABCA4 mutations. His mother and sister have stargardts and his father has RP. His sisters images are also on Retinagallery.com
stargardt-mild_pacai_121622_22.jpg
Stargardt Disease - Very Mild - 24 year old178 viewsThis patient has 3 different ABCA4 mutations. His mother and sister have stargardts and his father has RP. His sisters images are also on Retinagallery.com
stargardt-mild_pacai_121622_56.jpg
Stargardt Disease - Very Mild - 24 year old178 viewsThis patient has 3 different ABCA4 mutations. His mother and sister have stargardts and his father has RP. His sisters images are also on Retinagallery.com
stargardt-mild_pacai_121622_26.jpg
Stargardt Disease - Very Mild - 24 year old177 viewsThis patient has 3 different ABCA4 mutations. His mother and sister have stargardts and his father has RP. His sisters images are also on Retinagallery.com
stargardt-mild_pacai_121622_44.jpg
Stargardt Disease - Very Mild - 24 year old176 viewsThis patient has 3 different ABCA4 mutations. His mother and sister have stargardts and his father has RP. His sisters images are also on Retinagallery.com
stargardt-mild_pacai_121622_49.jpg
Stargardt Disease - Very Mild - 24 year old176 viewsThis patient has 3 different ABCA4 mutations. His mother and sister have stargardts and his father has RP. His sisters images are also on Retinagallery.com
stargardt-mild_pacai_121622_51.jpg
Stargardt Disease - Very Mild - 24 year old176 viewsThis patient has 3 different ABCA4 mutations. His mother and sister have stargardts and his father has RP. His sisters images are also on Retinagallery.com
stargardt-mild_pacai_121622_54.jpg
Stargardt Disease - Very Mild - 24 year old176 viewsThis patient has 3 different ABCA4 mutations. His mother and sister have stargardts and his father has RP. His sisters images are also on Retinagallery.com
stargardt-mild_pacai_121622_03.jpg
Stargardt Disease - Very Mild - 24 year old175 viewsThis patient has 3 different ABCA4 mutations. His mother and sister have stargardts and his father has RP. His sisters images are also on Retinagallery.com
stargardt-mild_pacai_121622_25.jpg
Stargardt Disease - Very Mild - 24 year old174 viewsThis patient has 3 different ABCA4 mutations. His mother and sister have stargardts and his father has RP. His sisters images are also on Retinagallery.com
stargardt-mild_pacai_121622_07.jpg
Stargardt Disease - Very Mild - 24 year old173 viewsThis patient has 3 different ABCA4 mutations. His mother and sister have stargardts and his father has RP. His sisters images are also on Retinagallery.com
stargardt-mild_pacai_121622_48.jpg
Stargardt Disease - Very Mild - 24 year old171 viewsThis patient has 3 different ABCA4 mutations. His mother and sister have stargardts and his father has RP. His sisters images are also on Retinagallery.com
stargardt-mild_pacai_121622_42.jpg
Stargardt Disease - Very Mild - 24 year old170 viewsThis patient has 3 different ABCA4 mutations. His mother and sister have stargardts and his father has RP. His sisters images are also on Retinagallery.com
stargardt-mild_pacai_121622_57.jpg
Stargardt Disease - Very Mild - 24 year old170 viewsThis patient has 3 different ABCA4 mutations. His mother and sister have stargardts and his father has RP. His sisters images are also on Retinagallery.com
stargardt-mild_pacai_121622_35.jpg
Stargardt Disease - Very Mild - 24 year old169 viewsThis patient has 3 different ABCA4 mutations. His mother and sister have stargardts and his father has RP. His sisters images are also on Retinagallery.com
stargardt-mild_pacai_121622_30.jpg
Stargardt Disease - Very Mild - 24 year old168 viewsThis patient has 3 different ABCA4 mutations. His mother and sister have stargardts and his father has RP. His sisters images are also on Retinagallery.com
stargardt-mild_pacai_121622_41.jpg
Stargardt Disease - Very Mild - 24 year old168 viewsThis patient has 3 different ABCA4 mutations. His mother and sister have stargardts and his father has RP. His sisters images are also on Retinagallery.com
stargardt-mild_pacai_121622_21.jpg
Stargardt Disease - Very Mild - 24 year old167 viewsThis patient has 3 different ABCA4 mutations. His mother and sister have stargardts and his father has RP. His sisters images are also on Retinagallery.com
stargardt-mild_pacai_121622_23.jpg
Stargardt Disease - Very Mild - 24 year old166 viewsThis patient has 3 different ABCA4 mutations. His mother and sister have stargardts and his father has RP. His sisters images are also on Retinagallery.com
stargardt-mild_pacai_121622_31.jpg
Stargardt Disease - Very Mild - 24 year old166 viewsThis patient has 3 different ABCA4 mutations. His mother and sister have stargardts and his father has RP. His sisters images are also on Retinagallery.com
stargardt-mild_pacai_121622_52.jpg
Stargardt Disease - Very Mild - 24 year old165 viewsThis patient has 3 different ABCA4 mutations. His mother and sister have stargardts and his father has RP. His sisters images are also on Retinagallery.com
stargardt-mild_pacai_121622_40.jpg
Stargardt Disease - Very Mild - 24 year old161 viewsThis patient has 3 different ABCA4 mutations. His mother and sister have stargardts and his father has RP. His sisters images are also on Retinagallery.com
stargardt-mild_pacai_121622_55.jpg
Stargardt Disease - Very Mild - 24 year old161 viewsThis patient has 3 different ABCA4 mutations. His mother and sister have stargardts and his father has RP. His sisters images are also on Retinagallery.com
64 files on 1 page(s)

24 year old male (seen in 2023) IN 2017, he had his first traumatic brain injury. Once was impact and two were concussive. His most recent brain injury was November of 2021. He did artillery's and he was around a lot while things were being shot. He was bitten twice by black widows and has some nerve damage from that. He has 8 microbrain lesions (like baby MS). One lesion was in the optic nerve. One reason for coming is to see what he can see. He just retired out of the military in 8/2022. With that he was seeing pretty well out of both eyes. He was thought at the time to have very poor vision from nerve damage. Now his vision has improved (starting about a month ago). In January of 2022 his vision declined and then in November of 2022 his vision returned. There is no chance that he has MS according to test. His mother and sister have Stargardts disease and his father has retinitis pigmentosa VA OD: sc20/32 NscJ1+ VA OS: sc20/32 NscJ1+ IOP: TP: OD:13 OS:13