Retina Gallery ~ Full Sized Retina Images

Library of Free, Non-Copyrighted Retina Images and Videos

Choose your language:

Most viewed - Severe NPDR

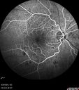
53 year old man with blurred vision (needs glasses). Diabetic for 10 years with poor control VA 20/32 OU

NPDR_116888_92024_17.jpg
Severe NPDR170 views53 year old man with blurred vision (needs glasses).
Diabetic for 10 years with poor control
VA 20/32 OU
NPDR_116888_92024_16.jpg
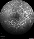
Severe NPDR166 views53 year old man with blurred vision (needs glasses).
Diabetic for 10 years with poor control
VA 20/32 OU
NPDR_116888_92024_02.jpg
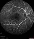
Severe NPDR140 views53 year old man with blurred vision (needs glasses).
Diabetic for 10 years with poor control
VA 20/32 OU
NPDR_116888_92024_01.jpg
Severe NPDR135 views53 year old man with blurred vision (needs glasses).
Diabetic for 10 years with poor control
VA 20/32 OU
NPDR_116888_92024_06.jpg
Severe NPDR135 views53 year old man with blurred vision (needs glasses).
Diabetic for 10 years with poor control
VA 20/32 OU
NPDR_116888_92024_15.jpg
Severe NPDR124 views53 year old man with blurred vision (needs glasses).
Diabetic for 10 years with poor control
VA 20/32 OU
NPDR_116888_92024_05.jpg
Severe NPDR118 views53 year old man with blurred vision (needs glasses).
Diabetic for 10 years with poor control
VA 20/32 OU
NPDR_116888_92024_07.jpg
Severe NPDR109 views53 year old man with blurred vision (needs glasses).
Diabetic for 10 years with poor control
VA 20/32 OU
NPDR_116888_92024_10.jpg
Severe NPDR109 views53 year old man with blurred vision (needs glasses).
Diabetic for 10 years with poor control
VA 20/32 OU
NPDR_116888_92024_09.jpg
Severe NPDR106 views53 year old man with blurred vision (needs glasses).
Diabetic for 10 years with poor control
VA 20/32 OU
NPDR_116888_92024_03.jpg
Severe NPDR104 views53 year old man with blurred vision (needs glasses).
Diabetic for 10 years with poor control
VA 20/32 OU
NPDR_116888_92024_12.jpg
Severe NPDR104 views53 year old man with blurred vision (needs glasses).
Diabetic for 10 years with poor control
VA 20/32 OU
NPDR_116888_92024_14.jpg
Severe NPDR100 views53 year old man with blurred vision (needs glasses).
Diabetic for 10 years with poor control
VA 20/32 OU
NPDR_116888_92024_08.jpg
Severe NPDR99 views53 year old man with blurred vision (needs glasses).
Diabetic for 10 years with poor control
VA 20/32 OU
NPDR_116888_92024_04.jpg
Severe NPDR97 views53 year old man with blurred vision (needs glasses).
Diabetic for 10 years with poor control
VA 20/32 OU
NPDR_116888_92024_11.jpg
Severe NPDR85 views53 year old man with blurred vision (needs glasses).
Diabetic for 10 years with poor control
VA 20/32 OU
NPDR_116888_92024_13.jpg
Severe NPDR81 views53 year old man with blurred vision (needs glasses).
Diabetic for 10 years with poor control
VA 20/32 OU
     
17 files on 1 page(s)

53 year old man with blurred vision (needs glasses). Diabetic for 10 years with poor control VA 20/32 OU