Retina Gallery ~ Full Sized Retina Images

Library of Free, Non-Copyrighted Retina Images and Videos

Choose your language:

Most viewed - Collapsed Vitelliform Pattern Dystrophy

74 year old female: Seeing "Diamonds in central vision" when first waking up OU. Duration of Problem: about 6 weeks. Location: central vision. Modifying Factors: Lasts just a few minutes. Medical Hx: Cancer (Breast). Surgical Hx: Lumpectomy. Appendectomy. nose surgery. Systemic Meds: Ibrance. Faslodex. Zomita. Vitamin D3. VA OD: Dsc20/40+2 VA OS: Dsc20/50+1 IOP: TP: OD:18 OS:21

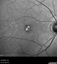
PatternDystrophy_96645_fu_27.JPG
Pattern Dystrophy with Collapsed Vitelliform122 views74 year old female with vision loss in eye with collapsed vitelliform lesion.
PatternDystrophy_96645_fu_28.JPG
Pattern Dystrophy with Collapsed Vitelliform117 views74 year old female with vision loss in eye with collapsed vitelliform lesion.
PatternDystrophy_96645_fu_26.JPG
Pattern Dystrophy with Collapsed Vitelliform114 views74 year old female with vision loss in eye with collapsed vitelliform lesion.
PatternDystrophy_96645_fu_24.JPG
Pattern Dystrophy with Collapsed Vitelliform59 views74 year old female with vision loss in eye with collapsed vitelliform lesion.
PatternDystrophy_96645_063022_17.jpg
Pattern Dystrophy with Collapsed Vitelliform58 views74 year old female with vision loss in eye with collapsed vitelliform lesion.
PatternDystrophy_96645_063022_18.jpg
Pattern Dystrophy with Collapsed Vitelliform55 views74 year old female with vision loss in eye with collapsed vitelliform lesion.
PatternDystrophy_96645_fu_21.PNG
Pattern Dystrophy with Collapsed Vitelliform54 views74 year old female with vision loss in eye with collapsed vitelliform lesion.
PatternDystrophy_96645_fu_23.JPG
Pattern Dystrophy with Collapsed Vitelliform54 views74 year old female with vision loss in eye with collapsed vitelliform lesion.
PatternDystrophy_96645_fu_25.JPG
Pattern Dystrophy with Collapsed Vitelliform53 views74 year old female with vision loss in eye with collapsed vitelliform lesion.
PatternDystrophy_96645_063022_15.jpg
Pattern Dystrophy with Collapsed Vitelliform51 views74 year old female with vision loss in eye with collapsed vitelliform lesion.
PatternDystrophy_96645_063022_19.jpg
Pattern Dystrophy with Collapsed Vitelliform50 views74 year old female with vision loss in eye with collapsed vitelliform lesion.
PatternDystrophy_96645_fu_20.PNG
Pattern Dystrophy with Collapsed Vitelliform48 views74 year old female with vision loss in eye with collapsed vitelliform lesion.
PatternDystrophy_96645_fu_22.png
Pattern Dystrophy with Collapsed Vitelliform47 views74 year old female with vision loss in eye with collapsed vitelliform lesion.
PatternDystrophy_96645_063022_11.jpg
Pattern Dystrophy with Collapsed Vitelliform46 views74 year old female with vision loss in eye with collapsed vitelliform lesion.
PatternDystrophy_96645_063022_08.jpg
Pattern Dystrophy with Collapsed Vitelliform46 views74 year old female with vision loss in eye with collapsed vitelliform lesion.
PatternDystrophy_96645_063022_06.jpg
Pattern Dystrophy with Collapsed Vitelliform45 views74 year old female with vision loss in eye with collapsed vitelliform lesion.
PatternDystrophy_96645_063022_14.jpg
Pattern Dystrophy with Collapsed Vitelliform41 views74 year old female with vision loss in eye with collapsed vitelliform lesion.
PatternDystrophy_96645_063022_01.jpg
Pattern Dystrophy with Collapsed Vitelliform39 views74 year old female with vision loss in eye with collapsed vitelliform lesion.
PatternDystrophy_96645_063022_10.jpg
Pattern Dystrophy with Collapsed Vitelliform38 views74 year old female with vision loss in eye with collapsed vitelliform lesion.
PatternDystrophy_96645_063022_13.jpg
Pattern Dystrophy with Collapsed Vitelliform38 views74 year old female with vision loss in eye with collapsed vitelliform lesion.
PatternDystrophy_96645_063022_12.jpg
Pattern Dystrophy with Collapsed Vitelliform37 views74 year old female with vision loss in eye with collapsed vitelliform lesion.
PatternDystrophy_96645_063022_16.jpg
Pattern Dystrophy with Collapsed Vitelliform37 views74 year old female with vision loss in eye with collapsed vitelliform lesion.
PatternDystrophy_96645_063022_04.jpg
Pattern Dystrophy with Collapsed Vitelliform33 views74 year old female with vision loss in eye with collapsed vitelliform lesion.
PatternDystrophy_96645_063022_05.jpg
Pattern Dystrophy with Collapsed Vitelliform32 views74 year old female with vision loss in eye with collapsed vitelliform lesion.
PatternDystrophy_96645_063022_03.jpg
Pattern Dystrophy with Collapsed Vitelliform29 views74 year old female with vision loss in eye with collapsed vitelliform lesion.
PatternDystrophy_96645_063022_02.jpg
Pattern Dystrophy with Collapsed Vitelliform28 views74 year old female with vision loss in eye with collapsed vitelliform lesion.
   
26 files on 1 page(s)

74 year old female: Seeing "Diamonds in central vision" when first waking up OU. Duration of Problem: about 6 weeks. Location: central vision. Modifying Factors: Lasts just a few minutes. Medical Hx: Cancer (Breast). Surgical Hx: Lumpectomy. Appendectomy. nose surgery. Systemic Meds: Ibrance. Faslodex. Zomita. Vitamin D3. VA OD: Dsc20/40+2 VA OS: Dsc20/50+1 IOP: TP: OD:18 OS:21