Retina Gallery ~ Full Sized Retina Images

Library of Free, Non-Copyrighted Retina Images and Videos

Choose your language:

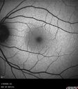
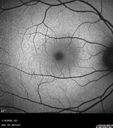
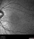
Most viewed - Acute Retinal Pigment Epitheliitis (Maybe)

15 year old male - There was a spot in the central vision in the right eye which has not been improving. Still sees a spot in the vision. Late June 2025 (7 months ago) he woke up with a spot in the central vision in the right eye that has not gone away. Eczema treated with dupixant. There have been no laser exposures (he does shoot clay but no lasers involved). He uses topical steroids intermittently for flares (about once a week). Medical Hx: Eczema. Surgical Hx: Noncontributory. Systemic Meds: Dupixent. VA OD: Dsc20/32 VA OS: Dsc20/16 IOP: TP: OD:16 OS:14

ARPE_125925_011926_03.jpg
Acute Retinal Pigment Epitheliitis (Krills disease)3 views15 year old with sudden central vision loss in one eye. The vision loss persisted though for at least 6 months (which may be a laser injury)
ARPE_125925_011926_15.jpg
Acute Retinal Pigment Epitheliitis (Krills disease)3 views15 year old with sudden central vision loss in one eye. The vision loss persisted though for at least 6 months (which may be a laser injury)
ARPE_125925_011926_21.jpg
Acute Retinal Pigment Epitheliitis (Krills disease)2 views15 year old with sudden central vision loss in one eye. The vision loss persisted though for at least 6 months (which may be a laser injury)
ARPE_125925_011926_02.jpg
Acute Retinal Pigment Epitheliitis (Krills disease)2 views15 year old with sudden central vision loss in one eye. The vision loss persisted though for at least 6 months (which may be a laser injury)
ARPE_125925_011926_12.jpg
Acute Retinal Pigment Epitheliitis (Krills disease)2 views15 year old with sudden central vision loss in one eye. The vision loss persisted though for at least 6 months (which may be a laser injury)
ARPE_125925_011926_20.jpg
Acute Retinal Pigment Epitheliitis (Krills disease)2 views15 year old with sudden central vision loss in one eye. The vision loss persisted though for at least 6 months (which may be a laser injury)
ARPE_125925_011926_22.jpg
Acute Retinal Pigment Epitheliitis (Krills disease)1 views15 year old with sudden central vision loss in one eye. The vision loss persisted though for at least 6 months (which may be a laser injury)
ARPE_125925_011926_23.jpg
Acute Retinal Pigment Epitheliitis (Krills disease)1 views15 year old with sudden central vision loss in one eye. The vision loss persisted though for at least 6 months (which may be a laser injury)
ARPE_125925_011926_24.jpg
Acute Retinal Pigment Epitheliitis (Krills disease)1 views15 year old with sudden central vision loss in one eye. The vision loss persisted though for at least 6 months (which may be a laser injury)
ARPE_125925_011926_25.jpg
Acute Retinal Pigment Epitheliitis (Krills disease)1 views15 year old with sudden central vision loss in one eye. The vision loss persisted though for at least 6 months (which may be a laser injury)
ARPE_125925_priorimages_26.jpg
Acute Retinal Pigment Epitheliitis (Krills disease)1 views15 year old with sudden central vision loss in one eye. The vision loss persisted though for at least 6 months (which may be a laser injury)
ARPE_125925_priorimages_27.jpg
Acute Retinal Pigment Epitheliitis (Krills disease)1 views15 year old with sudden central vision loss in one eye. The vision loss persisted though for at least 6 months (which may be a laser injury)
ARPE_125925_priorimages_28.jpg
Acute Retinal Pigment Epitheliitis (Krills disease)1 views15 year old with sudden central vision loss in one eye. The vision loss persisted though for at least 6 months (which may be a laser injury)
ARPE_125925_priorimages_29.jpg
Acute Retinal Pigment Epitheliitis (Krills disease)1 views15 year old with sudden central vision loss in one eye. The vision loss persisted though for at least 6 months (which may be a laser injury)
ARPE_125925_011926_01.jpg
Acute Retinal Pigment Epitheliitis (Krills disease)1 views15 year old with sudden central vision loss in one eye. The vision loss persisted though for at least 6 months (which may be a laser injury)
ARPE_125925_011926_04.jpg
Acute Retinal Pigment Epitheliitis (Krills disease)1 views15 year old with sudden central vision loss in one eye. The vision loss persisted though for at least 6 months (which may be a laser injury)
ARPE_125925_011926_05.jpg
Acute Retinal Pigment Epitheliitis (Krills disease)1 views15 year old with sudden central vision loss in one eye. The vision loss persisted though for at least 6 months (which may be a laser injury)
ARPE_125925_011926_06.jpg
Acute Retinal Pigment Epitheliitis (Krills disease)1 views15 year old with sudden central vision loss in one eye. The vision loss persisted though for at least 6 months (which may be a laser injury)
ARPE_125925_011926_07.jpg
Acute Retinal Pigment Epitheliitis (Krills disease)1 views15 year old with sudden central vision loss in one eye. The vision loss persisted though for at least 6 months (which may be a laser injury)
ARPE_125925_011926_09.jpg
Acute Retinal Pigment Epitheliitis (Krills disease)1 views15 year old with sudden central vision loss in one eye. The vision loss persisted though for at least 6 months (which may be a laser injury)
ARPE_125925_011926_08.jpg
Acute Retinal Pigment Epitheliitis (Krills disease)1 views15 year old with sudden central vision loss in one eye. The vision loss persisted though for at least 6 months (which may be a laser injury)
ARPE_125925_011926_10.jpg
Acute Retinal Pigment Epitheliitis (Krills disease)1 views15 year old with sudden central vision loss in one eye. The vision loss persisted though for at least 6 months (which may be a laser injury)
ARPE_125925_011926_11.jpg
Acute Retinal Pigment Epitheliitis (Krills disease)1 views15 year old with sudden central vision loss in one eye. The vision loss persisted though for at least 6 months (which may be a laser injury)
ARPE_125925_011926_13.jpg
Acute Retinal Pigment Epitheliitis (Krills disease)1 views15 year old with sudden central vision loss in one eye. The vision loss persisted though for at least 6 months (which may be a laser injury)
ARPE_125925_011926_14.jpg
Acute Retinal Pigment Epitheliitis (Krills disease)1 views15 year old with sudden central vision loss in one eye. The vision loss persisted though for at least 6 months (which may be a laser injury)
ARPE_125925_011926_16.jpg
Acute Retinal Pigment Epitheliitis (Krills disease)1 views15 year old with sudden central vision loss in one eye. The vision loss persisted though for at least 6 months (which may be a laser injury)
ARPE_125925_011926_17.jpg
Acute Retinal Pigment Epitheliitis (Krills disease)1 views15 year old with sudden central vision loss in one eye. The vision loss persisted though for at least 6 months (which may be a laser injury)
ARPE_125925_011926_18.jpg
Acute Retinal Pigment Epitheliitis (Krills disease)1 views15 year old with sudden central vision loss in one eye. The vision loss persisted though for at least 6 months (which may be a laser injury)
ARPE_125925_011926_19.jpg
Acute Retinal Pigment Epitheliitis (Krills disease)1 views15 year old with sudden central vision loss in one eye. The vision loss persisted though for at least 6 months (which may be a laser injury)
     
29 files on 1 page(s)

15 year old male - There was a spot in the central vision in the right eye which has not been improving. Still sees a spot in the vision. Late June 2025 (7 months ago) he woke up with a spot in the central vision in the right eye that has not gone away. Eczema treated with dupixant. There have been no laser exposures (he does shoot clay but no lasers involved). He uses topical steroids intermittently for flares (about once a week). Medical Hx: Eczema. Surgical Hx: Noncontributory. Systemic Meds: Dupixent. VA OD: Dsc20/32 VA OS: Dsc20/16 IOP: TP: OD:16 OS:14