Retina Gallery ~ Full Sized Retina Images
Library of Free, Non-Copyrighted Retina Images and Videos
Home
Contact
About Us
Register
Login
Album list
Last uploads
Last comments
Most viewed
Top rated
My Favorites
By date
Search
FAQ
Choose your language:
FILE 2/37
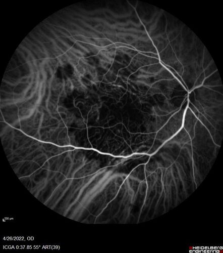
Macular Serpiginous Chorioretinopathy
75 year old vision with central placoid lesions. She tested negative for TB and Syphilis. The final visual acuity in both eyes was 1/200.
File information
Filename:
macserp_joflu1_042622_18.jpg
Album name:
scohen125
/
Macular Serpiginous Chorioretinopathy
Filesize:
59 KiB
Date added:
Feb 24, 2023
Dimensions:
768 x 868 pixels
Displayed:
199 times
URL:
https://retinagallery.com/displayimage.php?pid=16697
Favorites:
Add to Favorites