Retina Gallery ~ Full Sized Retina Images
Library of Free, Non-Copyrighted Retina Images and Videos
Inicio
Contacto
About Us
Regístrate
Entrar
Lista de álbumes
Últimos archivos
Últimos comentarios
Más vistos
Más valorados
Mis favoritos
Por fecha
Buscar
FAQ
Elige idioma:
Archivo 11/23
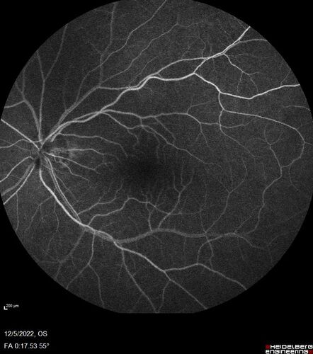
Macular schisis with no leakage on FA - Presumed Nerve pit maculopathy
73-year old female. Had treatment trial with Eylea with no benefit (4 months). Vision is 20/32 in left eye and has remained there (with a dense cataract).
Informacion de archivo
Nombre del archivo:
nerve-pit_112919_121721_13.jpg
Nombre de álbum:
scohen125
/
Macular Schisis - Presumed Optic Nerve Pit Maculopathy
Tamaño del archivo:
111 KiB
Fecha añadida:
Febrero 10, 2024
Dimensiones:
768 x 868 píxeles
Visto:
108 visitas
URL:
https://retinagallery.com/displayimage.php?pid=17571
Favoritos:
Añadir a favoritos