Retina Gallery ~ Full Sized Retina Images
Library of Free, Non-Copyrighted Retina Images and Videos
Home
Contact
About Us
Register
Login
Album list
Last uploads
Last comments
Most viewed
Top rated
My Favorites
By date
Search
FAQ
Choose your language:
FILE 11/19
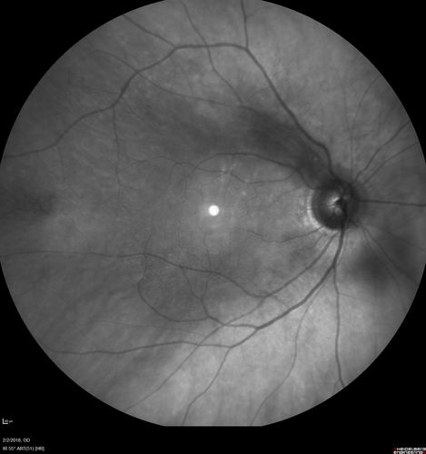
Retinal Capillary Hemangioma - Endophytic and Exophytic
46 year old female with normal vision - her father died of pancreatic cancer
File information
Filename:
vhl_suad_020218_11.jpg
Album name:
scohen125
/
Retinal Capillary Hemangiomas - Endophytic and exophytic
Filesize:
625 KiB
Date added:
Feb 08, 2018
Dimensions:
1536 x 1636 pixels
Displayed:
526 times
URL:
https://retinagallery.com/displayimage.php?pid=10541
Favorites:
Add to Favorites