Retina Gallery ~ Full Sized Retina Images
Library of Free, Non-Copyrighted Retina Images and Videos
Home
Contact
About Us
Register
Login
Album list
Last uploads
Last comments
Most viewed
Top rated
My Favorites
By date
Search
FAQ
Choose your language:
FILE 23/58
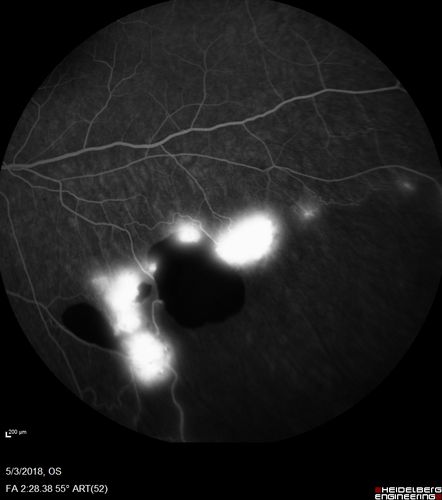
Coats' Disease -51 year old asymptomatic male
20/20 vision - had laser to non-perfusion because of proliferation.
File information
Filename:
coats_trsu_050318_23.jpg
Album name:
scohen125
/
Coats' Disease 51 yo Male - Asymptomatic
Filesize:
218 KiB
Date added:
Jul 27, 2018
Dimensions:
768 x 868 pixels
Displayed:
373 times
URL:
https://retinagallery.com/displayimage.php?pid=11074
Favorites:
Add to Favorites