Retina Gallery ~ Full Sized Retina Images
Library of Free, Non-Copyrighted Retina Images and Videos
Home
Contact
About Us
Register
Login
Album list
Last uploads
Last comments
Most viewed
Top rated
My Favorites
By date
Search
FAQ
Choose your language:
FILE 26/37
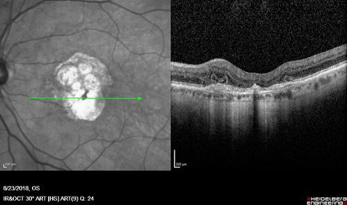
Outer Retinal Tubulation
78 year old man chronic wet AMD - 20/200
File information
Filename:
Outer-Retinal-Tubulation-jomi-082318_013.jpg
Album name:
scohen125
/
Outer Retinal Tubulation - Disciform Scar
Filesize:
338 KiB
Date added:
Aug 29, 2018
Dimensions:
1008 x 596 pixels
Displayed:
392 times
URL:
https://retinagallery.com/displayimage.php?pid=11206
Favorites:
Add to Favorites