Retina Gallery ~ Full Sized Retina Images
Library of Free, Non-Copyrighted Retina Images and Videos
Home
Contact
About Us
Register
Login
Album list
Last uploads
Last comments
Most viewed
Top rated
My Favorites
By date
Search
FAQ
Choose your language:
FILE 20/25
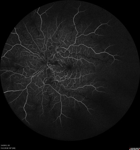
CRVO 25 year old man - Heterozygous Factor V Leiden
20/100 initial vision. Improved to 20/30 with Lucentis which continued for 3 years, treat and extend, and stopped.
File information
Filename:
crvo_mabr_050415_20.jpg
Album name:
scohen125
/
CRVO 25 year old man - Factor V Leiden Heterozygous
Filesize:
1441 KiB
Date added:
Dec 18, 2018
Dimensions:
1536 x 1636 pixels
Displayed:
323 times
URL:
https://retinagallery.com/displayimage.php?pid=11416
Favorites:
Add to Favorites