Retina Gallery ~ Full Sized Retina Images

Library of Free, Non-Copyrighted Retina Images and Videos

Choose your language:
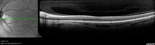
Foveal hypoplasia - aplasia
SD OCT shows persistent plexiform layers in the center of the macula 
EXTENDED HPI: He is having some trouble seeing his gadgets (like his watch). He was diagnosed with morning glory syndrome at about 3 yeras old. This last visit you saw fluid under the retina and asked him to come here. The vision is a little worse.
VA OD: Dcc20/40+2 NccJ2-2
VA OS: Dcc20/25-2 NccJ1-2

Foveal hypoplasia - aplasia

SD OCT shows persistent plexiform layers in the center of the macula
EXTENDED HPI: He is having some trouble seeing his gadgets (like his watch). He was diagnosed with morning glory syndrome at about 3 yeras old. This last visit you saw fluid under the retina and asked him to come here. The vision is a little worse.
VA OD: Dcc20/40+2 NccJ2-2
VA OS: Dcc20/25-2 NccJ1-2

fovealaplasia_demc_030615_04.jpg fovealaplasia_demc_030615_06.jpg fovealaplasia_demc_030615_03.jpg fovealaplasia_demc_030615_08.jpg fovealaplasia_demc_030615_07.jpg