Retina Gallery ~ Full Sized Retina Images

Library of Free, Non-Copyrighted Retina Images and Videos

Choose your language:
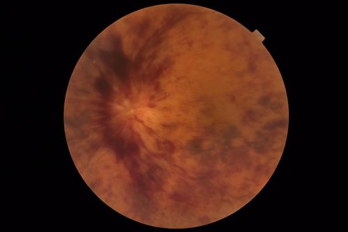
Central Retinal Vein Occlusion with Macular Edema
74 year old female The vision in the left eye has gotten worse over the last 3 weeks.  
VA OD: Dcc20/25 
VA OS: DccCF 3ft 
IOP: TP: OD:16 OS:14 
Vision improved to 20/40 in 3 months with monthly Aflibercept

Central Retinal Vein Occlusion with Macular Edema

74 year old female The vision in the left eye has gotten worse over the last 3 weeks.
VA OD: Dcc20/25
VA OS: DccCF 3ft
IOP: TP: OD:16 OS:14
Vision improved to 20/40 in 3 months with monthly Aflibercept

CRVO_sasch_041719_03.jpg CRVO_sasch_041719_04.jpg CRVO_sasch_041719_02.JPG CRVO_sasch_041719_01.JPG CRVO_sasch_041719_05.jpg