Retina Gallery ~ Full Sized Retina Images
Library of Free, Non-Copyrighted Retina Images and Videos
Home
Contact
About Us
Register
Login
Album list
Last uploads
Last comments
Most viewed
Top rated
My Favorites
By date
Search
FAQ
Choose your language:
FILE 7/8
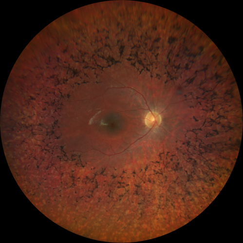
Retinitis Pigmentosa - Simplex - 16 year old female good vision
Difficulty with night vision
No family history
VA 20/25 OD, 20/16 OS
Negative for RPE65
File information
Filename:
RP_rarei_071519_01.png
Album name:
scohen125
/
Retinitis Pigmentosa - Simplex - 16 year old Good Vision
Filesize:
27540 KiB
Date added:
Apr 22, 2020
Dimensions:
3916 x 3918 pixels
Displayed:
429 times
URL:
https://retinagallery.com/displayimage.php?pid=13906
Favorites:
Add to Favorites